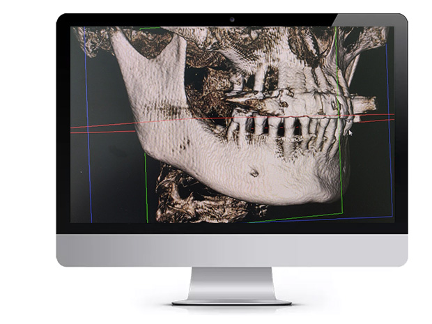
MAC三维影像数据精确采集
-

一次扫描提取近30项数据
骨量信息、软组织信息、咬合关系等
头部完整数据精确提取 -

360°旋转扫描,重建三维图像
360°扫描实时重建立体图像,突破二维X光片
限制,为您把辐射降到更低 -

优化治疗计划,尊享私人定制
医生可从任意角度与细节观察分析
病例,优化治疗方案与计划
让诊断更精,让方案更优
传统CT的二维扇形束扫描,投影数据是一维的,重建后的图像数据是二维的,经过重组的三维图像是连续多个二维切片堆积而成的,金属伪影较重。在数字化口腔诊疗的全链条中,数据精度决定治疗效果,对此,麦芽口腔采用三维锥形束X线取代扇形螺旋CT,二维的投影数据重建直接获取三维图像,牙齿或颌骨等硬组织结构成像质量更好。
申请体验 · MAC精确方案设计图像质量对于诊断至关重要
-
清晰成像,辅助精确诊断
麦芽MAC数字化精确影像采集,广泛用于种植牙术前诊断设计、牙周疾病、牙体牙 髓病等科室的诊断,精确诊断能提升治疗精度。

-
化繁为简,为您降低辐射
麦芽MAC数字化精确影像采集,能提供出色的CBCT,全景和3D面部扫描,仅需一 次检查,就能获取全面清晰数据。

-
3D模型,精确重建咬合
麦芽MAC数字化精确影像系统,能清晰重建并呈现颅面、牙颌咬合关系细节,是麦 芽口腔实现“以修复为导向”的基础。

-
3D可视呈现,优化治疗计划
麦芽MAC数字化精确影像采集,可通过全景扫描、3D面部扫描及数字化3D智能口扫 结合,为您呈现3D可视方案,以改善治疗计划。
“在疑难种植问题上,CBCT的广泛应用,突破了传统影像学技术只能用二维影像来 反映三维目标的局限,在术前诊断和手术规划过程带来了极大便利。”
麦芽口腔罗湖机构技术院长 | 田忠奇
用数字科技致敬精确口腔医学
麦芽口腔着眼全链条的数字化诊疗解决方案,构建5大五大数字化口腔精确诊疗模块,带给您更便捷、更卓越的口腔诊疗体验。
-

MAC数字化精确数据采集
-

MAC数字化精确方案设计
-

MAC数字化3D精确打印
-

①MAC数字化精确种植牙
-

②MAC数字化精确正畸



















































