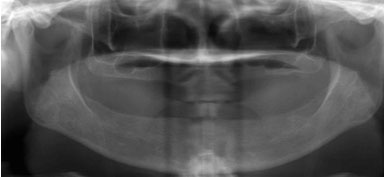
锥形束平板CT:
360°3D口腔透视
CT数据+种植医生
+3D种植模拟软件
智能导航,3D种植导板定位
不翻瓣、3-4mm
微孔植入
当天种植,
当天即可戴牙
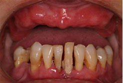
全口植入8颗
半口植入4颗
避开重要神经,
减少创伤
无需植骨,
节省时间与费用
突出特点,实现即拔即种即用,结合后能吃能咬
点击预约
数字化3D导板定位植体深度、角度,微孔植入创口牙根大小
点击预约
骨量严重萎缩的情况下,利用斜行植体等技术,避免植骨手术。
点击预约
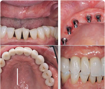
可以解决全口、半口无牙颌、 牙槽骨严重萎缩/极薄问题。
点击预约
瑞典Nobel种植牙系统是基于计算机引导下的自动设计和激光定位,使得种植牙过程由原来的手工操作转化为自动化处理,变得智能便捷。
采用螺纹设计和表面处理技术,有着与骨相似的生物适应性,增加初期稳定性和自攻性,骨质较差时也能很好结合。
ICX种拥有很高的灵活性,面对长期半颌和全颌重度骨缺损也能理想修复。ICX全颌新的multi全颌修复方案,在短短的1-2小时内即可完成手术,避免了长期复杂的骨移植手术,大大减少了手术创伤,节省了治疗费用。
兼顾美学效果与舒适稳定。圆锥形根状几何结构和双螺纹设计有利于提高骨结合率,保证了良好的初期稳定性,实现即刻负重。
刃设计的自攻性根端设计,利用种植体自身的螺纹旋转攻入骨内,能让根尖区获得较为理想的初期稳定性。
目前边缘骨吸收量最少的种植系统,能保证长期的功能成功和美学稳定性;型号多样,对骨量要求少的超短植体、适合牙间隙超窄植体。
带来智能、严谨的种牙体验
减少常规治疗的1/4
国际口腔种植医师学会·全球大使/会长单位
六大种植系统示范基地