据有关专业调查显示,我国近3成老人常年缺牙不修复。长期牙齿缺失,将会导致咀嚼功能减退、消化 功能受损、面部变形等诸多问题,且随着牙槽骨的吸收,将会大大增加日后修复治疗的复杂性。对此,深圳长途货车司机冯海宏深有感触,由于他平时开车工作忙碌辛苦,对口腔健康保健做的不是很及时到位,导致牙齿发生病变。最终他毅然选择麦芽口腔,并有幸参与由深圳市社会公益基金会麦芽口福基金、麦芽口腔联合举办的全城寻找缺牙人活动,共同见证缺牙重生的惊喜过程!

更多详情 >>
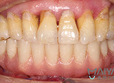
咀嚼功能急速下降?面容憔悴?牙齿缺失后果超乎想象!

据冯先生介绍,他的全口牙从几年前就开始损坏了,平时会伴随牙疼、牙龈出血等,当时并没有什么明显的剧痛感觉,所以多年来也没有在意。直到几个月前发现缺失牙临近的牙齿有点松动,接着牙齿开始脱落,后来也上网查阅了资料,才发现缺牙不修复危害大:缺牙部位相邻牙齿少了支撑,容易倾斜导致松动,很多人都因为忽视,从而导致相邻牙齿逐渐松动脱落,不仅导致咀嚼功能急速下降,影响了生活质量,而且口腔结构的改变直接影响面容,会让人看起来比实际年纪苍老,冯先生不禁为缺牙烦恼起来。

牙齿缺失后,你将面对与冯先生同样的问题:
日常饮食经常塞牙 缺失牙临近的牙齿松动脱落 咀嚼功能急速下降 生活质量大打折扣 影响面容易显苍老 更多隐患
麦芽口腔专业医生提醒:牙齿缺失是一种常见口腔疾病,虽然很多人对牙齿保健有了足够的认识,但依然有许多人认为,缺一两颗牙无所谓,旁边的牙齿照样可以咀嚼。其实不然,牙齿缺失不仅会导致牙周疾病的发生还会影响美观、使人显老,危害是很大的。
相似症状 在线预约 >>
即刻种植“真人秀”即将上演
2016年6月10日,即刻负重种植牙案例将震撼来袭!国际口腔种植医师协会深圳分会会长、深圳市二院原口腔科主任、麦芽口腔总院长郑苍尚教授、有近万成功种植案例、麦芽口腔中方院长游勤波携手先进团队即拔即种即刻负重高感度种植牙手术,千位缺牙市民将共同见证失牙修复奇迹!对于缺失牙市民来讲,这将是一次不可错过的种植牙课堂!
手术亮点:将实现技术上的全面升级!

此次种牙直播手术是牙槽骨萎缩严重,即刻负重高难度种植牙手术,在技术上将实现全面升级!麦芽口腔始终提倡并专注于亚洲口腔医学技术研究和创新的数字化口腔诊疗机构,根据亚洲人骨骼与欧美人骨骼的差异性,历经多年的不断摸索、实践、总结精研而成的,被称之为较适合亚洲人的种植牙技术。国际口腔种植医师协会深圳分会会长、深圳市二院原口腔科主任、麦芽口腔总院长郑苍尚教授介绍,此次手术直播将采用目前全球公认的、较先进的牙齿种植技术——即刻负重技术!

揭秘:
即刻种植VS传统种植牙
即刻种植VS传统种植牙
麦芽口腔核心技术 快、准、精、微、恒
微创即刻种植技术是专门针对东方人群的口腔环境及牙齿、牙骨的特性精研多年的齿科精艺,具有显著的“快准精微恒”的特性,获得口腔“诺贝尔奖”是世界亚洲人群的植牙精艺!
三大辅助技术
完美技术流程
适应人群
直接与在线医生一对一交流 直接与在线医生一对一交流 直接与在线医生一对一交流 直接与在线医生一对一交流

我适合这种技术吗?
适不适合,全面检查说了算

马上预约享 检查
麦芽口腔口腔种植牙案例屡创苏城纪录
术后两小时即可咀嚼肉食美味的即刻负重植牙案例
李先生 75岁 下排牙齿全部脱落

刘老先生几年前牙齿就一颗颗脱落,不得已只好装上了假牙套。原本以为装上假牙后,便可以正常的吃东西,然而,让他没有想到的是,生活质量反而大打折扣。"自从装上假牙后,每次吃饭过后都要刷牙,要洗洗弄弄,而且咬东西也不是很顺畅。本该是安享晚年的时候,却连基本的饮食都成困扰。麦芽口腔游勤波院长为刘老先生实施了"即刻负重种植牙",仅仅一个半小时,依靠五个种植体,李老先生的牙槽骨上便"长"出了半口全新的牙齿......

饱受假牙带来的痛苦和烦恼
游勤波亲自操刀,为其做种牙手术
术后享受美味的鸡腿
查看更多精彩内容
疑难案例:仅需种4颗牙当日恢复,想吃就吃!
殷俊 57岁 仅种4颗恢复上半口12颗牙齿

殷先生的牙齿状况比较特殊:上排牙骨比下排本身就窄,上牙槽骨还缺牙30多年,废用性萎缩非常严重。此前预约了很多口腔医院,普通的种植牙技术恐怕很难实现上面半口种植,并且在咬合和美观度方面也无法达到预期效果!郑苍尚院长综合考虑目前牙齿具体情况为殷先生推荐all-on-4(种植4颗即能恢复半口牙)手术方案......

上半口牙齿全部掉光 生活没有半点滋味 上半口牙齿全部掉光 生活没有半点滋味
郑院长亲自操刀,实施种植牙手术 郑院长亲自操刀,实施种植牙手术
术后CT 手术完全成功 术后CT 手术完全成功
查看更多精彩内容
79岁清华老人半口牙缺失,即刻负重当天助其恢复咀嚼!
蒋国宝 79岁 半口牙齿缺失

由于严重的牙周病,他的上半口牙齿全掉光了,下牙也缺了一颗,硬的、粘的、肉类都没法吃。蒋先生在女儿的陪同下到麦芽口腔口腔看牙,接受了麦芽口腔的即刻负重种植牙手术,通过创新性地应用拱形受力原理,仅植入4颗种植体,达到12~14颗牙的修复效果,马上戴上临时牙冠,恢复咀嚼......

缺牙痛苦,生活没有滋味
麦芽口腔为其制定严密的种植牙方案
顾冬辉为将先生种牙 术后即食苹果
查看更多精彩内容
选择好医生,才能种出好牙
麦芽口腔对医生队伍有着严格的要求,每一位进入麦芽口腔的牙科医生均经过层层考核。其医生团医生,均毕业于国内外知名牙科专业,并有出国深造或出国参与学术交流学习的丰富学术经验,取得相关的技能证书,与此同时,他们还有着丰富的临床实践经验,均超过十年以上,可以说,麦芽口腔医生团是一支代表着国际牙科专业的医生团队,在国际上都有着较高的声誉。