你以为小孩以下行为在撒娇卖萌?现代研究证实为肌功能障碍,这是导致颌骨发育不良,牙列拥挤及其他牙颌畸形的真正原因。

  • 口呼吸

    导致上牙前突、下颌后缩等牙颌颜面畸形

  • 错误吞咽

    面唇肌肉参与吞咽下颌后缩牙颌前突

  • 吐舌头

    导致颌骨发育异常出现龅牙、前牙开郃

  • 舌位错误

    拉扯下唇肌运动,致面型发育异常牙畸形

麦芽·用专业给孩子更好的保护

Malt digital customization is more precise and effective

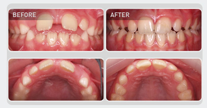
  • 案例(乳牙恒牙混合期)

    孩子11岁,表现为牙齿轻度拥挤。 您会注意到“V形拱形式和中线移位,这是典型的由于舌头位置放置不正确和和张口呼吸造成的牙齿问题。

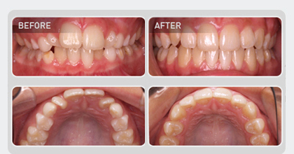
    案例(乳牙恒牙混合期)

    孩子表现为早期恒牙轻度拥挤及上牙弓的发育不好。孩子是一个张口呼吸患者,这是上颌骨不发达的首要原因。

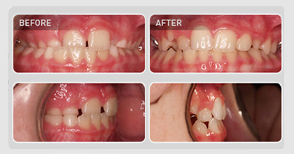
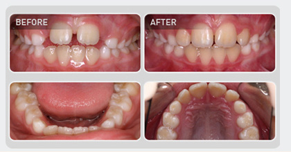
  • 案例(混合牙列期)

    这个9岁的患者有严重的反颌和上颌发育不足,导致侧切牙和尖牙的空间不足。

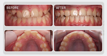
    案例(混合牙列)

    孩子表现为早期混合牙列开颌,咬合不正。这主要是由于拇指吸吮和随后的舌头放置位置错误导致。

  • 案例(混合牙列)

    该患者表现为早期混合牙列严重的上颌拥挤。这是典型的孩子用口呼吸和吞咽反向习惯造成的后果。这些习惯需要加以纠正并为他制定治疗方案。

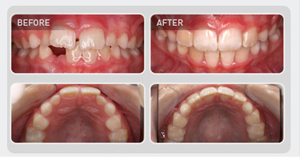
    案例(混合牙列)

    该患者表现为上前牙突出,这是典型的舌头位置放置不正确的舌前推力导致的牙齿问题。