香港《商报》特刊部主任苏伟——勇征南北极

姓名:苏伟 58岁
爱好:爱旅游、爱冒险
职业:香港《商报》特刊部主任、高级摄影记者
口内情况:下颌缺牙3颗,上颌缺牙2颗,合计缺牙5颗
主治医生:郑苍尚教授
种牙方案:数字化微创无痛种植 情况类似,咨询方案

作为一个高级摄影记者,缺牙后的苏伟虽然走遍大江南北,但却有许多遗憾。

热爱旅游但20年无缘美食

咀嚼受影响营养吸收不良

容易困乏无法享受旅游乐趣

缺牙危害
点击了解更多
苏伟表示:“20年前牙齿就开始脱落了,但当时科学、技术都没有达到现在的标准,自己也没有太在意,如今随着生活品质的提升,科学、技术的提高,对恢复牙齿的需求也变得越来越迫切。”虽友人曾推荐麦芽,但追求严谨真实的记者病,也让他比对过深圳、香港的不少口腔医疗机构。
ICOI专家团领衔 精于各种疑难种牙 专精的种植牙资质 大牌植体安全质保

步入麦芽口腔,见2017国际口腔种植医师学会·ICOI峰会胜利召开的现场花絮,此为深圳首度全球性种植牙学术盛事,赢得深圳多家媒体报刊争相报道。麦芽作为最大的承办方,全球200余位口腔大咖盛赞;总院长郑苍尚教授出任ICOI中国总会常务副会长,罗湖机构、南山机构院长相继荣升ICOI中国总会理事。

点击进入峰会专题

查看Ipad里的案例时发现麦芽种植牙案例库丰富,院内医生精于各类缺牙种植,单颗、多颗缺牙,半口/全口种植、无牙颌种植,all-on-4、all-on-6等,其中还见人民日报的退休老记者郭老也在案例之中。

点击预约种牙

ICOI是全球最大的种植牙医师培训教育机构,被全球65个国家所认可。国内的种植牙医生均会参与ICOI考核来提升。麦芽口腔于7月21日正式成为ICOI在广东地区唯一的教学培训基地唯一的培训基地,不仅承担市民的缺牙修复工作,还将承担牙医种植牙技术的再教育培训职责。

点击预约种牙

麦芽口腔与全球知名的种植体供应商均签订了正式合作协议,大品牌的植体安全性高,均有质保,如瑞典诺贝尔、瑞典Astra、德国icx、韩国奥齿泰、以色列高端MIS等,提供更广的选择,充分匹配自己的牙槽骨需求。

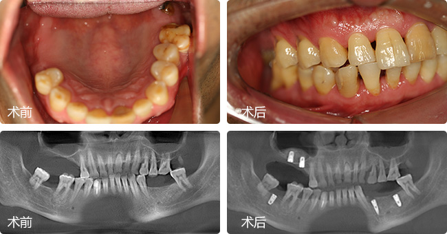
苏伟种牙手术全程实拍——20年缺牙一次重生

种牙方案:通过德国KAVO锥形束CT检查缺牙处牙槽骨的骨质密度、厚度,并分析牙周口腔健康后,对苏伟采用“微创无痛种植”恢复牙咬合功能……[查看方案]

技术介绍:麦芽微创无痛种植牙系统,通过精细化检查,术前局麻注射后,以3~4毫米的微小切口完成植体植入,具有以下几点优势:

  • 手术痛感小 ↑

    术前麻醉快速见效,没有噪音干扰,精神不紧张

  • 植牙创伤小 ↑

    植体需进入牙槽骨,所以手术创口仅牙根般大小

  • 术后恢复快 ↑

    创口仅牙根大小恢复时长约等于拔牙后的恢复期

  • 初期稳定性高 ↑

    创口小术后不易感染,植体的初期稳定性就很高

  • 半口缺牙种植

  • 全口无牙颌种植

  • 全数字化精确种植牙

  • 前牙美学区种植

  • 多颗牙种植

  • 5颗钉种出半口好牙,古稀老人当天种牙当天用

    顾客:李苏洪 75岁

    职业:退休干部

    口腔状况:半口牙缺失+牙周状况差

    治疗方案:牙周治疗+All-on-4+即刻种植即刻修复

    主诊医生点评:老李的牙周情况非常差,余牙松动,且牙槽骨萎缩、吸收,现存骨量无法进行传统的种植牙术式,采用All-ON-4种植牙技术 可以破解牙槽骨萎缩、骨量不足等种植难题,而且手术过程无需植骨。

  • 无牙老人“长”出满口好牙

    顾客:老张 65岁

    职业:工人

    口腔状况:满口烂牙,需做全口修复

    治疗方案:All-on-4种植

    主诊医生点评:余牙松动,且牙槽骨萎缩、吸收,进而采用数字化无痛即刻种植修复方案,综合运用数字化3d导航、无痛种植技术,避免了槽骨萎缩、无法进行传统种植的弊端。

  • 人民日报社资深记者选择麦芽种牙

    顾客:郭灵声 71岁

    职业:人民日报社资深记者

    口腔状况:半口假牙、晚期牙周炎

    治疗方案:全数字化精确种植牙

    主诊医生点评:郭老的牙齿多颗缺失并患有晚期牙周炎,为他量身定制了“微创无痛数字化口腔种植牙”技术,舒适的种牙体验,就像被蚊子“叮”了一下牙就种好了

  • 货车司机种牙后午拾年轻笑容

    顾客:冯先生 36岁

    职业:货车司机

    口腔状况:牙齿缺失多颗,牙槽骨萎缩

    治疗方案:前牙美学种植

    主诊医生点评:牙槽骨吸收、萎缩严重,已经无法完成传统的种植牙手术,进而采用数字化无痛即刻种植修复方案,综合运用数字化3d导航、无痛种植技术,避免了槽骨萎缩、 无法进行传统种植的弊端

  • 香港《商报》记者:不怕南征北战就怕缺牙受罪

    顾客:苏伟 63岁

    职业:香港《商报》特刊部主任、高级摄影记者

    口腔状况:上颌缺牙2颗,下颌缺牙3颗

    治疗方案:全数字化精确种植牙

    主诊医生点评:根据术前CT显示的牙槽骨数据和口腔健康情况分析,微创无痛种植能有效恢复牙咬合功能,仅3-4毫米微小切口,即可完成种植,减少肿痛和出血量,种植成功率更高

麦芽实力 大咖点赞 学术交流 诊疗标准 医院环境 公益活动
    麦芽口腔 (Maiya Dental)系粤港澳大型“医保定点·口腔专科”连锁品牌,由深圳市首批名医、国际口腔种植医师学会(ICOI)深圳分会会长、深圳市第二人民医院原口腔科主任郑苍尚教授任总院长,是深圳市医保定点单位、国际口腔种植医师学会ICOI·中国深圳会长单位、深圳医疗质量A级单位。
      麦芽口腔不断吸纳口腔临床医学人才和顶尖医技,打造业界知名和受信赖的口腔医院品牌,中国工程院邱蔚六院士、张志愿院士,中华口腔医学会会长王兴教授、中华口腔医学会口腔种植专委会名誉主委刘宝林教授的纷纷亲临指导和点赞。
        麦芽口腔品牌连锁机构,建院后多次承办并参加大型学术会议,对全球口腔发展动态胸有成竹,学以致用。并将自己出色的科技化、智能化、数字化技术分享给国内外其他口腔机构,行业盛赞。
          麦芽口腔品牌连锁建院至今,注重专业医疗设备、安全应急措施以及服务管理体系的建设,这是保障患牙患者身心健康、以及手术顺利进行、治疗效果的坚韧基石。
            麦芽口腔拥有深圳罗湖、南山、宝安、福田、龙华、惠州、厦门7家机构,总诊疗面积30000余平米,总亚阿姨装配量300余台,设“口腔种植、口腔正畸、美学修复、综合治疗、儿童口腔”五大科室。
              麦芽口腔在发展过程中始终不忘公益为民之心,谨守“以技术为核心,以公益树品牌”宗旨,将公益事业作为发展重心,成立以来,一直致力于口腔健康与美的传播,坚持向社会宣传口腔护理健康知识。