牙齿健康直接影响生活质量与身体健康,对此,麦芽口腔广泛开展义诊、 口腔检查与科普宣教,多措并举关心市民的口腔健康;大力主办承办学术论坛盛会,搭建学术交流平台,探究口腔领域疑难诊疗技术,旨在最终提升市民生活的幸福指数。
一场种植盛会,轰动国内外口腔种植领域,近百余名国际大咖及百余名华南区种植医师出席论坛,聚焦口腔种植疑难问题,针对目前种植牙领域的新技术和新问题展开深入探讨与交流。
麦芽口腔品牌连锁总院长郑苍尚教授殷切致词,希望种植医师积极去面对去攻克临床上的技术难题,不断吸纳和更新完善知识储备,丰富种植理论,更好地解决临床各类疑难问题,帮助更多的缺牙患者重拾口福。
麦芽口腔南山机构业务院长、第四军医大学邢晓建博士现场表示,加强国内外种植牙领域的技术交流与合作,搭建华南区种植牙技术接轨国际前沿技术平台,是麦芽口腔秉持“以技术为核心,以公益树品牌”的最佳体现。
现场百位行业权威见证,瑞典诺保科种植示范中心“花落”麦芽口腔,3年来,麦芽口腔接诊数万名缺牙人,凭借医疗团队娴熟的种植技术与默契的配合,为粤港澳市民送去口福。
课题:《不植骨无
课题:《前牙美学区
课题:如何获得种植修
课题:种植论持久战
悉尼大学口腔修复学博士
西澳大利亚牙科专家协会主席
精彩观点: 在不植骨无牙颌手术中,种植医生术前方案设计尤其重要,需要全面评估患者情况,制定个性化种植修复方案。术前借助口扫及3D数字化模拟打印技术,研究骨生长的走向和趋势,提前做好植体对软硬组织的支撑预测和设计,能提高舒适度、减少手术创伤、缩短手术时间及患者的恢复期。
武汉大学口腔医院种植科主任
中华口腔医学会口腔种植专业委员会副主任委员
精彩观点: 延期种植首要考虑骨组织的恢复,只有在软组织和骨量充足的情况下方能进行种植。同期种植必须满足三个条件,必须确保初期稳定性,必须保障精确的三维位置关系,必须准确评判局部骨缺损形态。
南方医科大口腔医院种植中心主任
中华口腔医学会口腔种植专委会副主委
精彩观点: 外科手术、二期修复、牙周疾病都是影响种植修复长期成功的风险来源,尤其是咬合负重过大、夜磨牙及吸烟,建议各口腔机构应加强患者回访工作,帮助患者建立定期复诊意识,医患共同重视种植牙术后维护,这将提高种植修复长期成功率,降低风险。
麦芽罗湖机构技术院长
广东省口腔医学会牙周专业委员会委员
精彩观点: 口腔卫生是确保种植牙长期稳定的关键因素,种植医师需特别重视种植患者的常规支持治疗及日常维护,建议种植医师合理预防及早期干预种植牙周围黏膜炎,种植患者每半年最少进行一次临床检查及维护治疗。
港星罗家英
数字化导板种植
人民日报老记者
牙周病高龄种植
退休老干部
缺牙半口咬合重建
加拿大国际友人
前牙美学种植
退休老军嫂
前牙即拔即种
种好一颗牙8分钟,生活品质回来了!
手术成功原理:通过精细化的CBCT与口扫结合,精准重建咬合关系,三维重建制作3D导板,术中借助导板导航,不翻瓣就能精准恢复咬合与功能,种颗牙8分钟,高龄老人也能放心种!… [详细]
术前预知方案
导板种不适感低
创口小恢复快
远期成功率高
舍弃半口假牙,种牙后终于重拾口福
手术成功原理:通过牙周综合治疗控制病情,提升远期种牙成功率;结合数字化种植导板技术,降低牙槽骨需求量;采取微创植入的方式,降低手术痛苦,术后不适感低、康复速度更快… [详细]
手术痛感较小
创口如牙根大小
麻药退后痛感低
后期稳定性高
5颗钉恢复半口牙,七旬老汉乐开花!
手术成功原理:传统种牙一个萝卜一个坑太难受,为让七旬老李少遭罪,麦芽医生团前期通过牙周洁治,为其量身定制了“ALL-ON-5”种植方案,增加负重与咀嚼能力,总共恢复12颗牙齿… [详细]
节省近1/3费用
当天戴冠能饮食
远期结合更稳固
创口减少近2/3
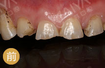
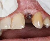
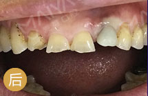
缺牙6个月,我想要回我的牙齿!
手术成功原理:针对缺牙引起牙槽骨萎缩吸收的情况,通过GPR植骨和保持位点手术形成新的牙槽骨。再通过数字化种牙完成前牙美学区的植入,实现即刻负重,拥有良好的美学效果… [详细]
前牙美学度高
植体结合稳固
术后就能吃饭
远期成功率高
直播女主杨阿姨:我为麦芽口腔点赞
手术成功原理:借助锥形束CT判断牙槽骨骨量与骨壁厚度,重建口腔制作3D导板,微创拔除断折前牙同时借助导板完成植体植入,同期安装牙冠,形成良好的美学效果… [详细]
拔牙同时就种牙
少做手术少遭罪
避免延期骨量萎缩
不植骨更省钱
过去看牙你可能几天来回奔走各医院,就为找一个靠谱的医生;麦芽在选择专家标准方面,建立了严格、高标准的人才引进机制,倾注于专家队伍的打造,积极引进术业有专攻的资深口腔大师,既有省市两级重点学科学术带头人、口腔种植和种植材料学双料博士,又有代表种植牙至高水平的国际口腔种植医师学会资深专家,在他们的带领下,麦芽口腔始终以高标准、高技术的诊疗服务,全方位为深圳市民的口腔健康保驾护航。
2015年口腔种植进展研讨会
2016年2月数字化口腔种植联盟
2016年4月数字化口腔种植论坛
第一届华南疑难种植名家论坛
国际种植医师学会ICOI深圳峰会
举办近300期麦芽口腔大学堂
麦芽口腔成立3年来,坚定集团发展战略,坚持集团标准化管理,狠抓医疗品质,严苛甄选品质材料,强化医护工作者服务意识,旨在用真诚的服务、高尚的医德、过硬的技术、踏实的医疗质量,为口腔患者保驾护航,成为大家值得托付、值得信赖的知心朋友。
星级设备
严谨安全
示范基地
全球六大系统
服务保障
诚信医疗白皮书
麦芽荣誉
大咖点赞屡获殊荣


















































罗湖区深南东路2102号振华大厦(湖贝站2号线C出口、5号线E出口)
预约热线:852-6649 8803 投诉热线:0755-2230 9045
南山区南山大道1153号天源大厦(地铁11号线南山站B1出口)
预约热线:852-6649 8803 投诉热线:0755-2296 5678
宝安区前进一路90号万悦格兰云天酒店2楼(地铁5号线灵芝站B出口)
预约热线:852-6649 8803 投诉热线:0755-2236 5678
福田区彩田南路3002号彩虹大厦(地铁1号线岗厦站F出口)
预约热线:852-6649 8803
龙华区和平路204号赛龙豪轩B栋(地铁4号线龙华站B出口)
预约热线:852-6649 8803
沙井中心路金达城大厦/佳漾汇商场对面(地铁11号线沙井站D出口)
预约热线:852-6649 8803
光明区大仟里购物中心B区下沉一层(公明广场站6号线D出口)
预约热线:852-6649 8803
深圳市罗湖区人民南路1008号大中华环球金融中心南塔10楼(地铁1号罗湖站E2出口)
预约热线:0755-8233 9968
广东省惠州市惠城区南岸路121号成隆大厦
预约热线:0752-2559956 投诉热线:0755-22309045