【大师专访】麦芽口腔总院长郑苍尚
麦芽智能AI在线 · 点击咨询 来源:麦芽糖编辑社 更新:2018-04-21 10:55
*说明:文章信息仅供参考,不作为临床口腔医学诊断依据。
当天种牙,当天啃苹果
——麦芽为VIP何先生完成"即刻种植修复术"
2015年12月13日,对于何先生(化名)来说,这是一个值得铭记的日子。在饱受牙缺失困扰多年之后,终于迎来了自由享受美食日子。
● 这个富豪有点烦,家资亿万却吃不下
今年47岁的何先生是位风光无限的成功人士,多年来积聚了亿万财富,却饱受口腔困扰,看尽美食却难尝美味,实在令他苦不堪言。
"其实在信息飞速发展的今天,我早已通过报纸、互联网等媒介了解到种植牙技术,但一直因担心拔牙导致"面子"问题,又担心医生技术水平、种植效果、怕痛等原因,迟迟未行动",何先生说道。其实,通过多种途径了解并持续关注种植牙方面信息,何先生对种植牙的技术有一定的初步的了解,所以在技术上更是要求精益求精,对口腔诊疗的环境、设备、医生技术水平都要求甚高。

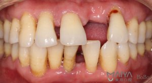
手术前(左上门牙携带活动义齿、右下门牙松动)
● 麦芽数字生物种植牙,即种即用乐翻他
麦芽口腔首席种植医生院长介绍,何先生需要种植的左上门牙携带活动义齿、右下门牙松动都是"面子"工程,普通种植牙过程上中的一个阶段大概需要三个月左右。
但麦芽数字生物种植牙采用即刻种植技术仅仅60分种就能完成,解决了何先生不想等待3-6个月牙槽窝愈合才种植的愿望,极大缩短了患者就诊时间,且其美观、功能与自体牙类似,能很好的恢复咀嚼功能,固位效果好,外观自然逼真,而且种植时间大大减少,种完牙当天就能享受美食,甚至啃上苹果了。

种植术后修复
● 解析麦芽数字生物种植牙
麦芽数字生物种植牙精准的植入定位和先进材料的应用,确保了种植体的良好生物相容性,延长了种植牙的使用寿命。采用国际当先全数字化口腔模式,从口内数据CT扫描提取、数字化分析与模拟、数字化建模、数字化手术导板、3D模型打印、义齿加工以及手术模拟导航等,确保了麦芽的口腔诊疗技术更加严谨、精密和安全。
1、3D导板种植技术:通过CT了解骨头的宽度、高度包括牙龈厚度,把种植体放在合理合适的位置,达到后期4D效果。

术前CT分析、导板分析和种植后对比
2、牙龈微创技术:避免翻起牙龈、缝合、拆线等步骤,将创伤降低到最小程度,避免了术后肿痛和出血,术中"零"出血,术后几乎不会疼痛和肿胀。

种植导板
3、即刻种植技术:即拔即种,即刻修复,大大减少就诊次数,无需往返拆线,即刻种植即可就用。

即刻修复体
4、种植医生技术:医生技术和经验是又快又好的保证,麦芽口腔携连锁口腔成熟经验首次入深,采用世界牙科联盟(FDI)、中华口腔医学会医师准入机制,与ICOI国际口腔种植医师学会、美国圣安东尼奥牙科学院、美国修复学会、美国牙周病学会、美国南加州大学牙学院、墨西哥大学等多家著名院校及机构医生合作,引入的国际口腔医师团队,汇聚最精英的口腔医生团队。

3D模拟上颌临时牙术前 和 种植术后对比
*提交信息后,工作人员将致电回访,与您确定到院时间,小麦为您自动排号,为您节省看牙的时间。












转载
咨询














































