外国友人:麦芽和中国功夫一样,very good!
麦芽智能AI在线 · 点击咨询 来源:麦芽糖编辑社 更新:2020-01-11 17:19
*说明:文章信息仅供参考,不作为临床口腔医学诊断依据。
过去的困扰
I am Jack Gramas,也可以叫我郭杰克。我的母亲是希腊人,父亲是法国人,他们在加拿大成家,我在加拿大长大,酷爱骑摩托车,是加拿大的赛车手和赛车场经理人。在加拿大入冬的180天我会在中国,加拿大暖和的180天我就会回到加拿大去。十年来,一直如此。

在希腊的时候,美味的面包会掺杂着各种各样的小东西,比如榨的橄榄,很不巧的是,我的牙齿用力咬的时候,牙齿就崩裂,没了.....在加拿大看了医生,但冬天到了,要来中国过冬,由于时间问题在加拿大无法医治,医生建议到中国做这个治疗,可能需要做种植牙。

改变开始
2017年3月 这里有最好的医生
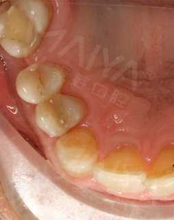
戴完牙冠,无论是颜色还是咀嚼性能方面都和我的真牙一样,恢复了往日的形象也恢复了原有的咀嚼功能。种植牙手术的成功,让我拥有了更加灿烂的笑容。十年里我从来没有在中国去过任何医院看过任何医生,但是这次却在麦芽口腔见识了中国医生,和中国功夫一样,very good!这里有最棒的环境,而且这里有最好的医生!


2017年2月 回麦芽复查,牙齿非常稳固好用
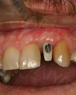
今年的4月18日,我去了第一次复诊后,直接飞回了加拿大。坐飞机过程也没有什么不适感,而且有按照郑院长的要求,一直在好好的呵护我的种植牙。现在回到中国,手机上显示客服的复诊短信提醒,虽然在还未种完牙的情况下,但这丝毫不影响我继续享用美食。复诊的时候,拍了片子,郑院长说植入的植体与骨结合不错,然后给我安装了愈合基台,说我有什么不适的话,都可以过来。

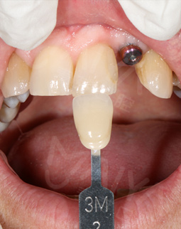
今天又来复诊,愈合基台无松动,可以戴牙冠了,取模也很方便,然后还有比色,一颗种植牙看着只是种牙而已,其实每个环节还是挺细心的,这次复诊刚好碰上活动,在此祝福生日快乐,也希望更多的缺牙人能在这里重拾口福健康!

2016年11月 种植手术顺利完成
种牙前先做了检查,身体状况允许条件下,去了手术室,牙科的手术室让我很吃惊,surprise!中国牙科设备条件真的超乎想象,国际上水平也莫过于此了吧!然后面部消毒,打麻醉,你们相信我种植牙的时间不超过半个小时吗?在牙椅上只有麻醉的时候有些许疼痛,后面完全没有感觉,而且种完牙后并没有感觉肿胀,这实在令人太高兴了,不得不说现在科技、医学都让人惊叹!

郑院长说,等植体与骨结合后,就可以完成后续的装牙冠的工作了,我很是期待。

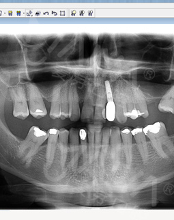
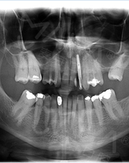
2016年4月 牙槽骨严重缺损,不适合一期种牙
来到深圳,多方寻医,一个医生朋友告诉我,这个只有到麦芽找郑苍尚院长,他能做。“我有6个月一直没有牙齿,我要我的牙齿。”这是我见到郑院长后说的第一句话,在麦芽流程很顺利,经过拍片检查后,郑院长说我剩余残根反复发炎松动,牙槽骨受损严重,影响咀嚼功能,只能拔除残根后需引导骨组织再生,不能一期种牙....很专业的词我不太懂,但是他能处理我就放心了!

在郑院长的建议下,我选择了诺贝尔植体,种植牙还需要骨粉骨膜,大致了解了种牙的流程,我很满意。

*提交信息后,工作人员将致电回访,与您确定到院时间,小麦为您自动排号,为您节省看牙的时间。












转载
咨询














































