麦芽口腔品牌资讯 | 文章详情ACCURATIO

返回首页更多精彩 >

人生七十古来稀,满口好牙乐长寿

麦芽智能AI在线 · 点击咨询 来源:麦芽糖编辑社 更新:2017-11-09 14:24

麦芽品牌 · 快速导航

MAC数字化口腔

精确诊疗体系倡导者

申请方案设计

接诊范围·专精疑难

运用数字科技

量齿定制专属方案

申请方案设计

数字化口腔精确科技倡导者

  • 麦芽品牌
  • 大咖寄语

*说明:文章信息仅供参考,不作为临床口腔医学诊断依据。

步入老年后,口腔情况和其他器官一样,结构和功能趋向衰老。营养丰富的食物,需经过牙齿的咀嚼才能容易吸收。充分的营养有助于身体健康、延年益寿,而牙列缺失也不用怕,麦芽口腔是ICOI中国深圳培训基地,拥有先进的种牙技术,七十高龄老人一样能种牙!
 
缺牙老人罹患心理疾病
百善孝为先带父种牙弥补缺憾
 
李大爷,75岁,一名退休干部,多颗后牙缺失数年,严重影响咀嚼。非常抗拒戴活动假牙,没有牙齿让他有了严重的心理障碍,影响正常生活。儿子为帮父亲重拾口福、走出心理障碍,决定带父亲种牙。通过上网和预约、多次实地考察与对比后,最终敲定麦芽口腔。
 
原来麦芽口腔是一家口腔连锁机构,据闻院长是ICOI院士、原市二院口腔科退休的老主任,今年还成了ICOI中国深圳培训基地,除了能给市民进行种植牙修复水平,还能给牙医进行种植牙的继续再教育培训,是国际知名的ICOI组织在深独版的种牙培训基地!
[图附文:听说缺牙能重生,老汉乐得合不拢嘴]
 
长期缺牙骨质不乐观
麦芽院长制定all-on-5攻克种牙难题
 
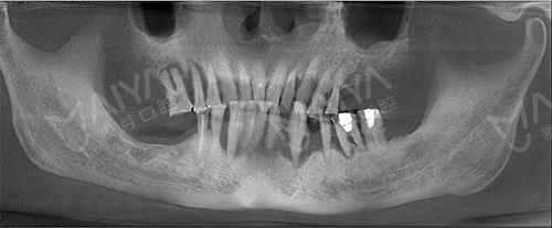
李大爷到院拍完CT和口腔全景片,了解到情况后,麦芽口腔的种植技术院长指出:由于长期对口腔疏于护理,李老的牙周情况非常差,余牙松动,且牙槽骨萎缩、吸收,现存骨量无法进行传统的种植牙术式。
 
 
麦芽的院长指出, All-ON-4种植牙技术打破传统种植技术瓶颈,可以破解牙槽骨萎缩、骨量不足等种植难题,而且手术过程无需植骨,让老年缺牙群体也能实现快速种牙。麦芽口腔院长针对李大爷的情况,对ALL-ON-4种植技术进行升级和改造,为其量身定制了"ALL-ON-5"种植方案。
 
五颗种植钉种出半口好牙
节省费用少遭罪高龄老人也无忧
 
传统方式种牙,面对多颗缺牙、半口缺牙、全口缺牙,可能会采用栅栏式的方法种牙,这样对患者而言创伤大,后期愈合难,容易感染,所以影响植体的稳定性。
【图附文:左图为传统种植,右图为all-on-4】
 
而麦芽口腔针对患者的口腔检查情况,制定all-on-5种牙方案,有效克服了牙槽骨对植牙手术的限制。针对严重骨量不足的患者,仅需植牙5颗即可完成半口/全口牙修复,节省费用不说,术后更容易恢复,种植体的初期稳定性更高。
 
术后,李大爷照着镜子笑得合不拢嘴
 
为此,老李在术后第二天特地赋诗一首,并制作锦旗,表达对麦芽口腔种植牙医生团队的感激之情。
 
麦芽口腔成立至今已2周年,于2015年率先成立数字化口腔种植中心,带动深圳地区口腔种植告别"自由手"、"盲种"时代,通过德国Kavo锥形束口腔CT监测,制作种植牙导板的方式,控制植体植入的深度、角度、力度,避免伤及神经,有效提高种植牙的初期稳定性,是深圳地区独版的ICOI种植培训基地。
MAC数字化精确口腔诊疗体系 MORE →
MAC博士专家智库 MORE →
MAC智能挂号平台·就医绿通 *智慧云挂号由麦芽口腔自主研发,采用双系统加密,保障市民隐私。
姓 名:
症 状:
验 证: 获取验证码
手机:
机构:
清空信息

*提交信息后,工作人员将致电回访,与您确定到院时间,小麦为您自动排号,为您节省看牙的时间。

其他内容Other