MAC数字化综合治疗科 | 资讯列表 | 文章详情Article details

返回首页更多精彩 >

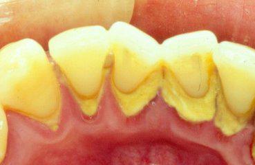
牙结石的形成原因有哪些

麦芽智能AI在线 · 点击咨询 来源:麦芽糖编辑社 更新:2019-11-09 17:27

接诊范围 · 在线分诊

MAC博士智库

守护牙齿牙周健康

进入医生列表

优势科室 · 看牙舒适

国际品牌授权

专业美齿甄选耗材

来源可溯品质可控

数字科技·美学修复升颜值

无痛诊疗理念

阶段麻醉,舒适操作

申请方案设计

数字化口腔精确科技倡导者

定制美齿,以假乱真

笑容触手可及

了解更多
  • 麦芽品牌
  • 大咖寄语

*说明:文章信息仅供参考,不作为临床口腔医学诊断依据。

  牙结石又称牙石,它是由食物残渣、坏死脱落的口腔上皮细胞及 唾液中的矿物质钙化后附着在牙齿表面而形成的。并呈现出黄色、棕色、或者黑色。那么牙结石的形成原因有哪些?
 
  一、由于唾液中的二氧化碳浓度降低,促使无机盐沉淀于牙齿表面上。
 
  二、由于退化细胞的磷酸盐酵素使有机磷水解产生磷沉淀于牙齿表面而形成。
 
  三、由于细菌使唾液的酸碱值升高而呈碱性,造成唾液中的蛋白质分解,放出钙盐,沉淀于牙齿表面上而成。
 
  四、与口水浓度有关,浓度愈大,愈易沉淀。
 
  牙结石形成的速度、形态和硬度因人而异,一般来说新生的牙结石需要十二至十五小时。快速形成的牙结石要比慢慢形成的牙结石要软且碎。所有刚形成的牙结石都是软软的,经过一段时间的钙化就会慢慢的变硬。因此在牙结石形成之初,使用口腔清洁法或刷牙法,都很容易清除牙结石,等到钙化之后就不易清除了。
 
  牙结石对口腔而言是一种异物体,它会不断刺激牙周组织,并会压迫牙龈,影响血液循环,造成牙周组织的病菌感染,引起牙龈发炎萎缩,形成牙周囊袋。当牙周囊袋形成后,更易使食物残渣、牙菌斑和牙结石等的堆积,这种新的堆积又更进一步的破坏更深的牙周膜,如此不断的恶性循环的结果,终至牙周支持组织全部破坏殆尽,而使牙齿难逃拔除的恶运。
  温馨提示:综上所述就是深圳麦芽口腔医生为大家做出的介绍,希望能对您有所帮助,但是文章必有它的局限性,在有些地方介绍不是很清楚,如果您还有哪些不懂的地方,或者是还想了解更多关于口腔方面的知识。可以在线预约我们的医生,或者拨打我们的热线电话:0755-82339968 , 我们的医生会为您做出详细的解答。
MAC数字化精确口腔诊疗体系 MORE →
MAC博士专家智库 MORE →
MAC智能挂号平台·就医绿通 *智慧云挂号由麦芽口腔自主研发,采用双系统加密,保障市民隐私。
姓 名:
症 状:
验 证: 获取验证码
手机:
机构:
清空信息

*提交信息后,工作人员将致电回访,与您确定到院时间,小麦为您自动排号,为您节省看牙的时间。

其他内容Other