全瓷美学修复 轻松见证笑容完美蜕变
麦芽智能AI在线 · 点击咨询 来源:麦芽糖编辑社 更新:2019-11-12 15:24
接诊范围 · 专精美齿
MAC博士智库
美齿修复以假乱真
进入医生列表甄选品牌·认证品质
国际品牌授权
专业美齿甄选耗材
来源可溯品质可控数字科技·美学修复升颜值
运用数字科技
量齿定制专属方案
申请方案设计数字化口腔精确科技倡导者
定制美齿,以假乱真
笑容触手可及
了解更多*说明:文章信息仅供参考,不作为临床口腔医学诊断依据。
34岁的董女士是深圳市一家食品店的老板,由于自身工作的原因,董女士的牙齿很早便出现了问题,10年前就为自己的上下前牙做了金属烤瓷修复,但是由于平时自己疏于护理,最近牙齿牙龈发黑,为了在客户面前展现最美的笑容,董女士多方了解最终来到了麦芽口腔。

治疗前的董女士

修复前的牙齿
接待董女士的是麦芽口腔的修复学专家熊少军专家,熊医生在得知董女士的情况后,详细地为她做了口腔检查。

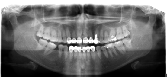
拍摄旧义齿口腔ct全景
考虑到董女士牙齿的特殊性和出现的问题,熊少军医生专门为她量身订做了一套麦芽数字化全瓷修复方案。
1、将牙龈作激光环切处理,同时上下颚的烤瓷牙做拆冠制作,按照色标的参数值,初步检查咬合接触关系。

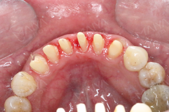
修复后的牙齿


初步检查咬合关系 逐一测量基亚冠修复空间
2、充分运用仿生学美学修复技术,患者修复后的咬合关系和整体美观与协调性反复的进行数字化模拟。


Cad软件预先设计排牙 设定内冠锆边 准备回切

内冠回切并最终设计完成

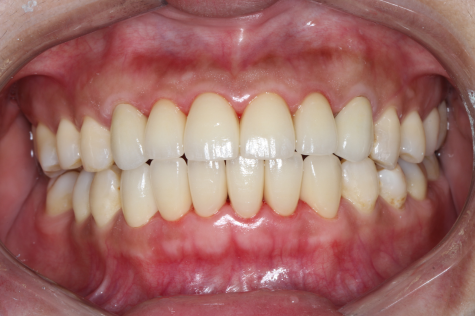
全瓷修复后的牙齿
不到一个小时,牙龈上的黑线消失了,牙齿又恢复了往日的风采,董女士开心的笑了,她说道:"以后又可以开心的和客户交谈了,感谢熊医生,感谢麦芽口腔先进的技术,以后一定好好的护理自己的牙齿!"
*提交信息后,工作人员将致电回访,与您确定到院时间,小麦为您自动排号,为您节省看牙的时间。












转载
咨询















































