MAC数字化综合治疗科 | 资讯列表 | 文章详情Article details

返回首页更多精彩 >

麦芽口腔防疫指南:疫情期牙龈出血怎么办?

麦芽智能AI在线 · 点击咨询 来源:麦芽糖编辑社 更新:2020-02-09 14:57

接诊范围 · 在线分诊

MAC博士智库

守护牙齿牙周健康

进入医生列表

优势科室 · 看牙舒适

国际品牌授权

专业美齿甄选耗材

来源可溯品质可控

数字科技·美学修复升颜值

无痛诊疗理念

阶段麻醉,舒适操作

申请方案设计

数字化口腔精确科技倡导者

定制美齿,以假乱真

笑容触手可及

了解更多
  • 麦芽品牌
  • 大咖寄语

*说明:文章信息仅供参考,不作为临床口腔医学诊断依据。

 
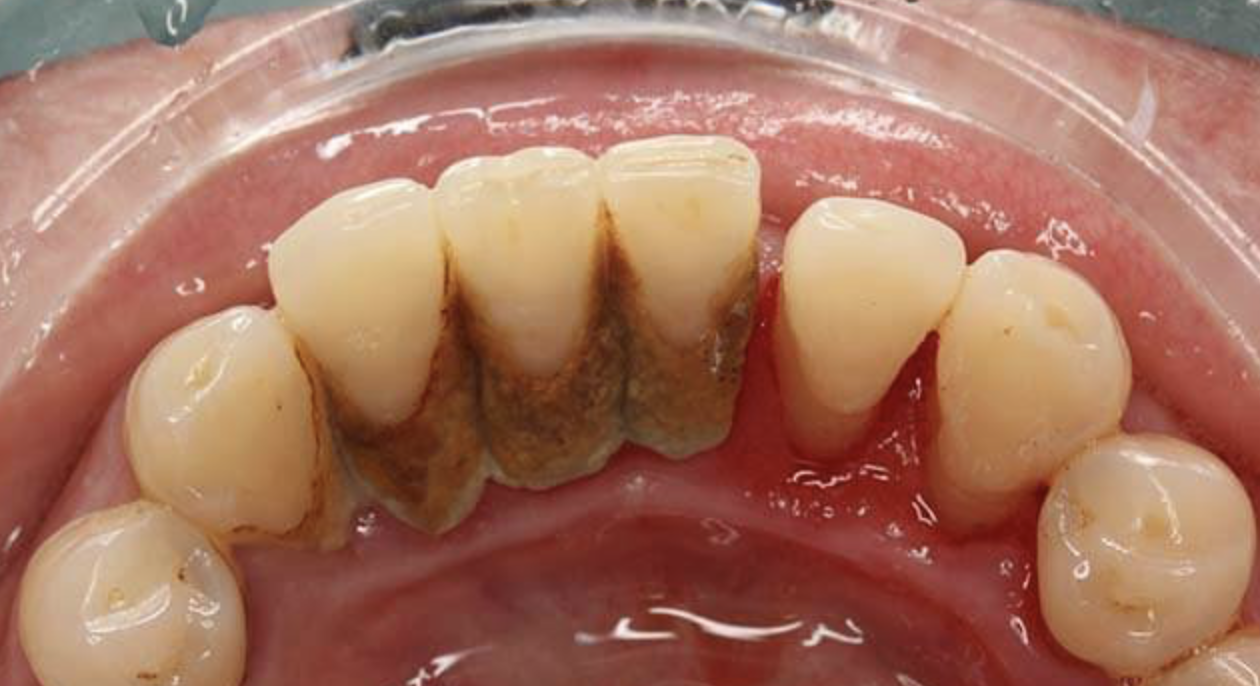
  由于口腔科治疗会导致气溶胶悬浮于空气中,在呼吸时会进入呼吸道,导致新冠肺炎感染,所以面对特殊时期,广大民众掌握灵活的牙病自救方法尤为重要。在长假里,牙龈出血与红肿、疼痛,可谓是常见病了,反复牙龈出血是不是得了大病?别急,我们看看麦芽口腔是怎么说的。

  
  反复牙龈出血,我是得了大病吗?
  
  麦芽口腔指出,生活中常见的牙龈出血都是牙性的,没有全身性的不适,表现为刷牙、进食、吸吮时牙龈出现渗血。导致牙龈出血的原因除了硬物撞击导致的牙龈受伤,更多是口腔卫生引起的。

  
  1、口腔清洁不到位:
  
  刷牙方式不对,拉锯式刷牙,建议百度巴氏刷牙法;
  
  刷牙时间太短,无法有效清洁牙齿软垢,建议每次刷牙不低于3分钟,早晚认真刷牙;
  
  洁牙后不采用牙线清理牙缝,牙缝内的牙结石压迫到牙龈组织。
  

 
  2、口内牙周环境较为复杂:
  
  尤其针对牙周炎患者来说,存在牙周袋,牙菌斑与牙结石多附着于龈下,尤其容易导致牙龈炎症。
  
  3、牙龈局部刺激导致:
  
  活动假牙佩戴者,除了加强口内卫生维护,还需要认真清洁活动牙,避免食物残渣附着在活动牙上,对牙龈造成“二次污染”。
  

 
  牙齿矫正时佩戴的托槽矫正器,比如弓丝、结扎丝异常,也有可能刺激牙龈出血,通常是因为进食方式不正确,应该避免大口咀嚼硬物,拒绝偏侧拒绝。
  
  针对矫正器异常刺激牙龈导致的出血,可微信麦芽口腔防疫指南查找自救方式,也可以电话联系矫牙医生获得针对性帮助。
  

 
  牙龈出血后怎么办?
  
  局部不良刺激导致的牙龈出血,请您先用冷水漱口,找到牙龈出血的具体位置,并查看出血牙龈周围是否有局部刺激物,如嵌塞的食物、干果皮、鱼刺等,可使用牙线、牙缝刷、木质牙签等尽量轻柔地去除牙龈周围的局部刺激物,将干净的棉球、纱布或卫生纸压紧后,压迫局部3-5分钟以上的时间,反复多次按压止血,直到血流基本停止。

  
  剩下的情况,都可以加强口腔卫生的维护,学会正确的刷牙方法,如果牙龈出血太严重,比如反复出血、红肿难忍,短期内还可以搭配抑菌类的漱口水,每天使用三次,每次含1分钟左右吐出。
  
  一般经过以上清洁与治疗,牙龈出血红肿都能大幅缓解,期间通过进食新鲜的蔬菜水果,少食烟酒,保证充足睡眠,无疑会加速患处复原。待疫情过去后,建议您可以到麦芽口腔进行口腔综合检查,排除牙病后您就可以放心了。
 
MAC数字化精确口腔诊疗体系 MORE →
MAC博士专家智库 MORE →
MAC智能挂号平台·就医绿通 *智慧云挂号由麦芽口腔自主研发,采用双系统加密,保障市民隐私。
姓 名:
症 状:
验 证: 获取验证码
手机:
机构:
清空信息

*提交信息后,工作人员将致电回访,与您确定到院时间,小麦为您自动排号,为您节省看牙的时间。

其他内容Other