深圳十佳主持人:事业有成形象也不能有缺憾
麦芽智能AI在线 · 点击咨询 来源:麦芽糖编辑社 更新:2019-11-27 15:14
*说明:文章信息仅供参考,不作为临床口腔医学诊断依据。
过去的困扰
作为深圳电视台的一名主持人,很多时候需要用更精致的形象面对观众,这也是主持人的自我修养。在近距离的视频拍摄中,因为牙齿不好看的关系,摄像师很少给到我脖子以上的大特写,就算有特写,也不敢咧嘴大笑,因此还错过一些好的工作机会!对我生活的影响就是,吃饭的时候,牙齿还经常卡刺,吃完之后需要花费时间去剔牙和漱口。 其实我很早想矫正,但是当时给的方案是传统的金属牙套,这显然我的职业是不允许的!毕竟,事业为主要阶段的现在,社交也很重要。如今已经年过30岁,我一直在找一种既能快速矫牙又不伤牙的方式。

改变开始
2018-03-17 麦芽隐形矫正,让我的牙齿悄然改“斜”归正
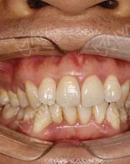
在接受两年左右的矫牙后,我现在再也不用边剔牙边吃饭了,而且摄影师都可以给我脸部特写了。对于效果来看,牙齿当然变的整齐了,工作中大家都说,小田变好看了啊,今年过年拍全家福,我一定要哈哈大笑一会,我一定是笑的最灿烂的!

2017-12-17 现身麦芽周年主持,给麦芽手动点赞
记不清是第几副牙套了,赶上口腔2周年庆,今天作为一名主持人去主持的活动,顺便讲述了我在矫正的点点滴滴,很感谢医护人员一直这么负责的服务,我觉得我要给一个赞,很不错!
2017-9-23 矫正过程中
2017-07-15 戴着牙套还能说绕口令,这个你能做到吗
平时我有大量的出差和节目录制,但牙套一点都没有影响到我的工作,甚至戴着牙套说绕口令都没有问题。而且接近一年的矫正能看出来牙齿有改变,我吃饭的时候能感觉到对牙齿的卡塞程度、包括次数、频率这些都是在缓慢的减少和降低。

2017-05-20 现身520隐形矫牙课堂,给大家分享我的矫牙体验
这是第一次来复诊,所以说这个隐形牙套还有个好处就是复诊少不耽误时间!好巧不巧,碰上520隐形矫牙课堂,这真的是个很特殊的日子,来到现场的基本都是年轻人居多,和一个人的交谈中,了解到她牙齿的苦恼,想要提升一下自己的颜值! 我很乐意去分享一下自己的矫牙体验,亲身示范摘戴牙套,没有超过10秒钟,坐在前排的一个人说真的看不出来戴了牙套。我觉得爱美是每个年轻人的权利,我也希望可以将一些经验分享给爱美的年轻人,另外有牙齿问题的,大家也可以一起探讨!
2017-01-16 佩戴牙套
由于工作档期比较多,拿到牙套,我才理解了什么叫双膜,分的薄膜和厚膜牙套,第一周戴薄的,第二周戴厚的,交替着戴!问了张主任说,这个既能提速又能让佩戴者感到舒适,这样比较科学,而不是一味的提速,舒适度也要考虑! 张主任亲自教戴,戴上之后,没有什么感觉,发音有一点细微的区别,但是不大,正常主持节目还是没有问题的。当天回到台里,故意在同事面前说话大笑,竟然都没有发现我嘴巴里有这个牙套,相信在电视机前观众看我主持的时候更不容易发现,下次我主持您可要仔细观察了!

2016-11-22 确定方案
关于牙齿矫正,我只有两个简单的诉求,第一工作的原因限制,我需要更低调的矫正器,只会考虑隐形矫正;第二,由于年龄也在这了,能快一点就最好快点完成吧。但听说成年人用隐形矫正的时间会比较慢,但是麦芽口腔有定制的双膜隐形矫正,据说是奥运冠军同款。由于工作档期比较多,一星期后才又到麦芽口腔,张超主任为我量身定制了矫牙方案,我也更深入的了解了这款麦芽特色牙套,它是利用组合矫治的原理来提速,有薄膜和厚膜两种配合使用,矫牙时间比普通隐形矫正缩短30%,还看到了最终了矫正效果,我很满意。

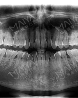
2016-11-1 口腔检查
选择麦芽口腔矫正牙齿,更多是因为口碑,当然矫牙不可能那么随便,我还是几经对比过,但麦芽口腔整体的服务以及正畸科室的规模、医生的专业性,都让我很满意。矫牙是个时间活,如果连医院都不稳定,这漫长的时间,要是有问题,我找谁呢?麦芽口腔是原来市二院口腔科主任郑苍尚教授带领组建的,看我这细致的做功课能力,初次来到麦芽口腔,真切感受到了麦芽的服务,首先导医带我挂号登记,然后张超主任为我详细检查了牙齿状况,并了解了我的个人矫牙需求。


*提交信息后,工作人员将致电回访,与您确定到院时间,小麦为您自动排号,为您节省看牙的时间。












转载
咨询














































