省钱种好牙!缺牙三颗以少种多,马上戴牙冠!
麦芽智能AI在线 · 点击咨询 来源:麦芽糖编辑社 更新:2020-01-09 15:29
*说明:文章信息仅供参考,不作为临床口腔医学诊断依据。
过去的困扰
早年一口烤瓷牙联桥害我满口烂牙,今天我要做种牙手术了!你们做种植牙的时间有多久?我种了两颗牙,前后不到二十分钟,就记得打了麻药的痛感,感受到种植机在嘴巴里的那种压迫感,其他紧张和疼痛真没有。


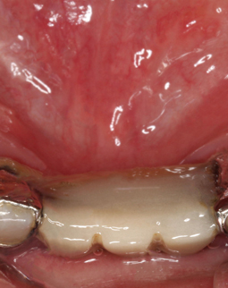
种牙之前我跑了很多医院,最终还是满意这里的种牙方案。说起缺牙,我和一般人还不太一样,我的门牙早些年因为摩托车车祸掉了三颗,和不少纠结“种植牙好还是镶牙好”的人一样,一开始我也因为镶牙便宜,选择了烤瓷牙联桥,几年过去了,发现这个烤瓷牙越来越难用了,一开始吃东西没有异常,这几年老是口臭,而且有金属黑线了,特别影响美观,跟人说话都好像没刷干净牙,我给你们看一下我种牙之前的口内照,有点恶心,请做好心理准备。

其实来这里之前,我还去过深圳很多的口腔医院,他们给我的方案基本都是都告诉我只能做传统的种植牙,就是把牙种下去,还要六个多月才能安装基台和牙冠,难道我要忍受前牙无牙六个月?怎么吃饭呢?怎么跟人谈生意?传统的延期种植牙基本就是这么个流程……一直都听说什么即刻用种植、即刻种植牙什么的,但是不少口腔医院医生给我的反馈是:这个技术对设备、对牙槽骨的要求都比较高,一般做不了。

幸运的是我在这里找到了能做这种技术的医生和医院,这种方法就是种下了种植体之后可以戴上牙冠,能让我快速度过尴尬期,男人四十都是拼事业的阶段,我实在没办法想象无牙谈生意有多丢人,你们不懂前牙缺牙的尴尬。
改变开始
术后第2天
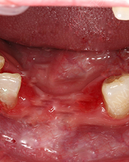
这是我种牙后的第二天,麻药退去了,还是有些不舒服,昨天种完牙一直咬了40分钟左右的棉球,现在还是有点渗血,多少有点疼,客服刚给我致电,告诉我不要吐口水,不然会加重出血量。昨天种好牙到现在,我吃了两餐饭了,然后漱了下口,我告诉你们,种完牙不能马上就刷牙。距离昨天手术过去了24小时,我到现在创口没有肿胀,现在就希望快点愈合。有人担心“种植牙有危险,种植牙会出很多血,种植牙创口会很大”,我问医生要了我的CT和种牙口内照,想给大家看一下。

左边是我种牙之前,缺牙很久了,所以这个牙床口长好了。右边是我的种植牙创口,大小和牙根差不多,这个很容易理解,因为种植体就是人造牙根,得有个洞才能把它埋进去,我种牙的创口很小了,基本是微创的,比起过去的切开牙龈种牙好太多了!所以大家不用太担心,你选个好的医院和医生,种植牙还是很靠谱的。

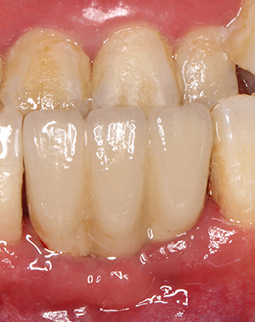
值得一提的是,我种牙之前把周围的炎症都提前处理了,做了深层的刮治和洁牙,把牙龈袋和牙缝的结石刮干净,还局部上了些消炎药。你们看下我的牙齿具体情况,黄色的都是牙结石,算严重了,牙龈也有些红肿对不对?很大一部分原因是因为那个烤瓷牙联桥导致的。

至于为啥种植牙手术之前要洗牙,不是为了赚我的钱,医生跟我说,如果牙周的环境不健康,种植牙也是会生病的,我现在非常理解为啥种牙前要洗牙了,如果口里的环境太差,创口肯定会感染。
术后第79天
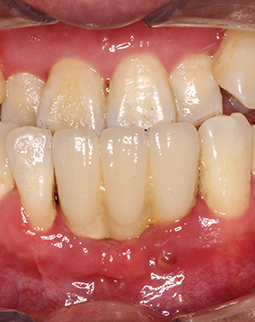
前几天回医院复诊检查和取模了发现我的种植体愈合挺好,今天过去准备把临时牙戴上,赶紧把这个空洞给补了,不然太尴尬了,戴牙冠之后医生给我把牙冠重新打磨了一下,说是要调整咬合,还要我模拟了下日常的咀嚼动作。哈哈哈,说件搞笑的事吧,我看见医生桌子上有个苹果,当即抓过来啃了一口,哈哈哈哈,这苹果太甜太好吃了,但医生还是建议我,先不要去吃硬物,等种植体再生长牢固一些,到时候想吃啥就吃啥。


到今天为止,我算是马上就有牙了。回想刚种牙那天,整个过程一点都没有痛觉,感觉自己就是在牙椅上睡了一觉,醒来后牙齿就长出来了,一切感觉是在做梦一样,非常棒的技术,戴上临时牙之后,可以正常的工作,也可以出席各类公开的活动,基本上解决了之前很多的麻烦,但还是不能吃太硬的东西,不太敢吃,医生跟我说“伤筋动骨一百天”,现在牙齿是戴上了,但是临时的,最主要是种植体还需要时间才能和我的牙床“相亲相爱”,接下来我就准备注意护理,让种植体早日和我的牙槽骨融为一体。

*提交信息后,工作人员将致电回访,与您确定到院时间,小麦为您自动排号,为您节省看牙的时间。












转载
咨询














































