“唐僧”来了——麦芽口腔推出深圳首档明星种牙直播
麦芽智能AI在线 · 点击咨询 来源:麦芽糖编辑社 更新:2018-08-26 12:00
*说明:文章信息仅供参考,不作为临床口腔医学诊断依据。
种牙过程疼吗?创口大吗?年龄大口腔状况不佳可以种牙吗?为了让缺牙市民朋友更全面了解种牙手术,麦芽口腔种牙直播活动迎来了第四期。本期种牙人物邀请到著名粤剧表演艺术家、经典电影《大话西游》唐僧扮演者、香港喜剧大师罗家英,他将在麦芽口腔南山机构接受种牙手术。届时,麦芽口腔将四院联播罗家英种牙全过程,这是深圳乃至整个粤港澳大湾区首档明星种牙直播活动,因此备受瞩目。
首档明星种牙直播火热开启
"唐僧"罗家英来麦芽种牙
提起唐僧,国人并不陌生,但提起罗家英,知道他的大陆居民可能不太多。他是周星驰版经典电影《大话西游》唐僧的扮演者,他在香港可以说得上是家喻户晓;他出身粤剧世家,8岁时跟随父亲罗家权、伯父罗家树学习粤剧基本功架,师随粉菊花、吕国铨、刘洵、李万春等京剧大师,21岁担当演出文武生;刘德华曾拜他为师学习粤剧。今年,罗家英更是因对粤剧发展的卓越贡献,获颁铜紫荆星章,此外,他与"阿姐"汪明荃30年坚贞爱情,感动了无数影迷,是圈内外公认的"德艺双馨好演员"。
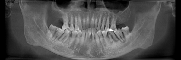
"上了年纪后我牙齿上面两边的第七颗牙齿都掉了,导致下面的牙齿出现牙根尖周炎,所以中老年朋友缺了牙齿一定要及时补,以前因为拍戏忙没档期,等闲下来发现年纪又大了,对种牙也是有各种顾虑,导致牙齿问题越来越多!"已经年过七旬的罗家英谈起自己的牙齿缺失问题,也跟大多数中老年朋友一样,充满了无奈。作为公众人物,罗家英坦言一口好牙是晚年品质生活的保障,除了能够帮助自己更自信地面对镜头展现笑容外,还让他吃得好睡得香,免受牙病困扰。

罗家英口内牙齿情况
"麦芽‘专注齿间艺术’的理念很得我心,他们有非常专业的种牙团队,听说很多都是国内的种牙博士,在这里种牙我很放心!"为了本次种牙直播更加顺利,罗家英提前考察了麦芽口腔,对麦芽优雅舒适的就诊环境、热情专业的服务及权威的种牙团队十分认可,对于即将到来的种牙手术,罗家英在接受采访时充满了期待。

种牙直播活动屡创新
麦芽口腔竭力为市民送口福
针对市民关心的种牙手术,麦芽口腔集团连锁总院长郑苍尚教授表示:"麦芽口腔一直希望通过多种举措,来帮助市民更加了解种植牙及各种口腔保健知识,比如:今年4月份,麦芽首次开展了"三院联播"的方式来进行种牙手术直播,这种几个机构同时观看种牙手术直播的形式,在整个深圳,乃至全国的口腔机构里面都是独一无二的,彰显着麦芽口腔的行业实力。"对此,麦芽口腔南山机构业务院长、第四军医大学口腔种植博士邢晓建院长也深有同感,他表示:"在4月份的直播过程中,我们不但对‘种牙直播’的形式进行了创新,更值得一提的是,对直播技术也进行了升级,我们摈弃了简单病例的手术直播,采用的是:即拔即种即刻修复的技术,这也是我们麦芽口腔的大胆创新之一,而本次采用‘明星种牙直播’也是深圳首档,更是体现了我们对技术的信心和麦芽口腔敢于挑战的精神。"

4月麦芽手术直播案例
自成立以来,麦芽口腔在深圳市首批名医、国际口腔种植医师学会(ICOI)院士、深圳市第二人民医院原口腔科主任郑苍尚教授带领下,组建了一支代表国内至高水平、以硕博专家为核心的博士专家团,他们拥有国际前沿的口腔理论和丰富的临床经验,致力于为广大消费者提供专业、权威、高品质的口腔诊疗服务,守卫大湾区市民口腔健康。

据了解,参与"明星种牙直播"活动,不仅能够现场见证"唐僧"扮演者、香港喜剧大师罗家英种牙全过程,还可获得与种植权威专家一对一沟通预约的机会,如果,你有牙齿松动、牙齿缺失的烦恼,那就更不能错过这次明星种牙直播活动啦,现场设有丰厚大奖及种牙多重优惠:
美齿全线 8.8折
*种植项目
进口种植体 特价4600元
欧美种植体 立减2800元
半口/全口种牙直降5万元
*正畸项目
隐形矫正最高减1万元
青少年矫正特价6980元
智慧美学正畸立减3000元
*美学修复
烤瓷牙特价780元
全瓷牙特价1980元
瓷贴面专享3999元
在线预约:
点这里
活动地址:
罗湖机构:罗湖区深南东路2102号振华大厦顺电左侧(地铁2号线湖贝站C出口)
南山机构:南山区南山大道1153号天源大厦南山派出所旁(地铁11号线南山站D出口)
宝安机构:宝安区前进一路90号万悦格兰云天酒店二楼 (地铁5号线灵芝站B2出口)
惠州麦芽口腔医院:惠州市惠城区南岸路121号麦芽口腔医院(河南岸邮政分局公交站)
*提交信息后,工作人员将致电回访,与您确定到院时间,小麦为您自动排号,为您节省看牙的时间。













转载
咨询














































