牙齿畸形很苦恼,麦芽隐形矫正让你悄然变美!
麦芽智能AI在线 · 点击咨询 来源:麦芽糖编辑社 更新:2018-11-12 18:18
*说明:文章信息仅供参考,不作为临床口腔医学诊断依据。
迷人的魅力从何而来?
也许你认为是颜值,是衣着
但是在小麦看来
它来自于你的强大内心
来自于你的灿烂笑容
毕竟,那是闪耀在唇齿间的美丽光芒

但是很多小伙伴们会说
没有完美牙齿怎么能展现自信笑容?
在这里小麦想跟你说
来麦芽口腔
对歪牙、丑牙、龅牙说再!见!
96年美模正畸宣言:
"为遇见更好的自己努力"
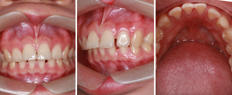
18岁正是一个人对爱美之心强烈时,河源客家妹子曾燕莎也是如此。随着年纪的增长她发现牙齿越来越稀疏,但由于还是学生,经济尚未独立,也未曾告知家长,所以矫牙一事就此搁置。自从她心里种下了矫牙的根,并且逐渐萌芽生长。

她曾经在网上搜索了牙套的种类,考虑到模特工作的原因,能在不影响美观的同时矫正牙齿的方式应是首挑,因此她搜索了隐形牙套的全方位资讯,也曾经走访了广州一家口腔医院,但是由于当时经济能力有限,接待她的医生看起来也不够耐心,就放弃了。
2017年12月的偶然一天,燕莎看到闺蜜朋友圈发的关于麦芽口腔的资讯 于是,周末休息时莎特地从广州来到位于深圳罗湖区深南东路2102号的麦芽口腔罗湖机构。

在体验了麦芽舒适的环境、热情的服务及周悦主任专业的讲解后,她说:"对比之前在广州了解到的机构,麦芽口腔给我就诊体验好太多了!"

虽然过去才10个月时间,但是矫牙的效果已经完全显现出来,牙缝已经逐渐缩小,牙齿越来越整齐了,在复诊时曾燕莎曾说:"希望通过矫正牙齿,能关闭自己的牙缝,笑容依旧灿烂如同昨日。"
三年匠心筑齿
打造大湾区完美微笑
麦芽口腔在2015年成立之初便把如何打造"适合亚洲人的齿间艺术"作为重要课题,在总院长郑苍尚教授的带领下打造出麦芽数字化美学正畸技术,创造性地将口腔正畸美学、全数字化科技、口腔美容及东方人的脸型结构集中在一起。
通过德国卡瓦/西诺德口腔数字化全景机,全方位成像患者牙齿生长情况,科学设计正畸方案,最大程度的保证患者能得到的理想效果,让美齿在悄然中一天天进行改变,完成麦芽正畸。

为了提供多样化的产品来满足不同层次市民的口腔健康需求,麦芽口腔不断引进国际最新的诊疗技术,如美国隐适美隐形矫正、双膜隐形矫正等来帮助他们打造迷人微笑。
3年来,麦芽口腔谨守"以技术为核心,以公益树品牌"宗旨,遵循医学技术与艺术美学的融合,为广大市民提供优质的口腔健康服务。我们希望通过麦芽口腔,您的微笑永远闪耀,您的世界永远光芒灿烂!
*提交信息后,工作人员将致电回访,与您确定到院时间,小麦为您自动排号,为您节省看牙的时间。












转载
咨询














































