吃都吃不了 哪有心情去旅行——78岁退休老人种牙记
麦芽智能AI在线 · 点击咨询 来源:麦芽糖编辑社 更新:2019-09-18 10:09
*说明:文章信息仅供参考,不作为临床口腔医学诊断依据。
人到晚年,生活品质尤为重要,去旅行、享口福都是提升生活品质的方式。可如果只能选其中一样,那该怎么办?今年78岁,没剩几颗好牙的肖钻茵阿姨心中已经有了答案。"牙齿都没了,吃都吃不了,花那么多钱出去玩哪有什么心情。"当她的朋友邀她去夏威夷旅游时,肖阿姨提不起半点兴趣。

历过荒年下过乡
更懂得口福重要
长久以来,缺牙给肖阿姨的生活带来了很大的困扰,吃东西囫囵吞枣,吸收不好,身体日渐消瘦。谈起自己为什么缺牙,肖阿姨打开了她回忆的大门。读大学时,肖阿姨恰逢60年代大饥荒,平常的一份饭要分成好几份,吃不饱,也就无暇顾及牙齿。大学毕业后又遇到知青下乡,条件更加艰苦,饮水还成问题,洗脸的水都没有,刷牙自然是不可能,所以50多岁就开始缺牙了。为了修复缺牙问题,她做过烤瓷牙,也戴过假牙,都不舒服。由于当年的口腔医疗技术不发达,固定修复要磨邻牙,没过几年邻牙也坏了,最终导致好牙所剩无几。
退休后,儿女和朋友邀请她去夏威夷、北京、杭州各地旅行,让她到处看看走走,好好享受老年生活,每次肖阿姨都摇头拒绝。"吃都吃不了,出去玩哪有心情。"肖阿姨说出了她的心结。经历过荒年也下过乡,肖阿姨懂得口福的重要,更想找一种一劳永逸的办法重拾口福。

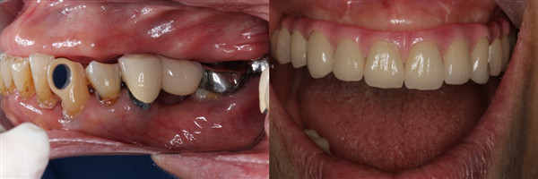
种植前VS种植后
两个小时种好牙
一劳永逸享口福
经过多番打听,肖阿姨了解到种植牙可以恢复咀嚼功能,又听说种牙效果跟真牙一样,遂下定了决心种牙。她四处查看口腔医院,曾是一名医生的她,深知医生技术在治疗过程中的重要性,最终选择了拥有博士种植专家团队的麦芽口腔。第一次来到麦芽口腔,肖阿姨就被麦芽口腔的真挚打动:"工作人员太热情了,像在自己家一样!"
麦芽口腔宝安机构赵旭峰院长为肖阿姨做了全面检查,考虑到肖阿姨年龄大,又缺牙久,牙槽骨萎缩已经很严重。如果采用传统的种牙方法,不仅需要大量植骨,植骨后还需等待牙槽骨恢复,这将大大增加种植的时间。再三思索后,赵院长决定采用麦芽MAC数字化精确种植技术,这样仅需个别牙齿先植骨,再通过数字化导航技术精确植入植体就可恢复上半口牙齿。"来麦芽口腔果然没有错,年龄这么大,本来还担心能不能种,赵院长给我吃了一颗定心丸。"听完赵院长对方案的讲解后,肖阿姨心头的一块巨石终于落了下来。

种牙当天,肖阿姨满心欢喜地来到麦芽口腔,赵院长仅花了不到两个小时就为她种好了牙齿,种完牙后,肖阿姨竖起了大拇指:"种牙一点都不痛,打麻醉也很到位,用的针很小,我这么瘦都没什么感觉,胖一点更不会有。"如今,肖阿姨看上去仿佛年轻了10岁,有了牙齿能够享口福了,生活也更加滋润。"现在有口福了,出去旅行才有意义。"说起种牙的愿望,肖阿姨说道。
麦芽种牙百叟宴第六期
邀百名缺牙人共品蟹宴
麦芽博士种牙专家团提醒缺牙市民:缺牙危害大,影响口腔健康,口腔中的感染和发炎,可导致或加剧心脑血管病、糖尿病等慢性病,危害全身健康。中老年人切勿因为年纪大、缺牙多、怕疼等原因一拖一再拖。随着数字化医疗技术的发展,种牙越来越便捷舒适。麦芽MAC数字化精确种植技术,可实现种牙全程可视化,做到创伤小,快速无痛,大大减少手术时间,有效解决了骨量严重萎缩不足等无牙颌种牙难题,术中采用无痛技术,配备心电综合监护仪器,保障高龄种牙手术的安全,使种牙全程更舒适。

为让更多中老年人有口福享受幸福晚年,9月21日,麦芽口腔将举办第六期种牙百叟宴,麦芽博士领衔种植专家团专家也将亲临活动现场,为患者讲解数字化精确种植知识,解答市民种牙疑惑。当天参加活动的缺牙市民还可以享受美味螃蟹,并亲眼见证种植牙媲美真牙的咀嚼力。当天还有种植体品牌厂商赞助的"百颗种植体免费送"特大福利,机会有限,先报先得,报名热线:0755-8233 9968。
*提交信息后,工作人员将致电回访,与您确定到院时间,小麦为您自动排号,为您节省看牙的时间。












转载
咨询














































