做种植牙需要多久?
麦芽智能AI在线 · 点击咨询 来源:麦芽糖编辑社 更新:2019-11-14 19:26
接诊范围·专精疑难
MAC博士智库
专注高龄疑难缺牙
进入医生列表甄选系统·国际品质
六大系统认证
数字化种牙示范基地
植体拥有唯一编码数字科技·精确种牙
运用数字科技
让疑难种牙变简单
申请方案设计数字化口腔精确科技倡导者
以修复为导向
一站式种牙与修复
了解更多*说明:文章信息仅供参考,不作为临床口腔医学诊断依据。
顾客问诊:做种植牙需要多久能完成呢?
在线回复:正常情况下,种植牙大约需要3-6个月完成。如果牙槽骨状况良好,可以选择采用即刻种植,当天就可以咀嚼进食,减少复诊和疗程。
如果因骨量不足而需要局部植骨,需要再延长4-6个月。如果您还有牙周病,在种植治疗之前还需要治疗牙周疾病,牙周治疗的时间根据患者病情的程度治疗时间不等。
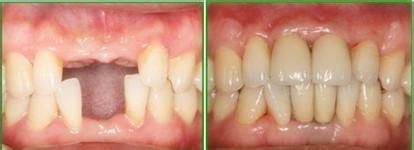
与可摘义齿相比,种植牙是固定修复,不需要每日摘戴,有更好的舒适性,在适应后,几乎没有异物感。和烤瓷牙相比,种植牙不需要磨损邻牙,且使用寿命更长。种植牙的受力方向更合理,有利于保护邻牙和保存牙槽嵴。
种植牙痛吗?
麦芽口腔作为一家专业的口腔机构,拥有经验丰富的资深种植牙医生,应用国际当先全数字化口腔种植模式,根据亚洲人骨骼、骨量、骨密度、牙槽骨高度、宽度等口腔环境及人体的耐受度,深入研究,在种植牙的微创性、精准性、即刻性、以及骨结合性方面有突破性的进展,形成了具有亚洲特色的“麦芽微创微痛种植牙”技术。
我的口腔情况适合种牙吗?
快捷性:治疗及愈合时间较短,全程从3至6个月缩短为三周左右。
微创性:治疗过程采用微创技术,更快康复。
性:全景设计种植部位、深度及角度,做到科学。
耐用性:纯钛种植体,生物相容性好,恢复真牙的咀嚼功能。
美观性:采用1:1仿生个性化美容设计,形态色泽胜似真牙。
严格的术前检查
严格检查口腔健康情况,牙周病等优先得到有效治疗和控制,否则种植牙失败的几率很高。
精准的影像检查数据
口腔CT扫描获取种植位点骨宽、高度、骨密度数据,根据骨量进行最科学、最适合的种植手术方案设计分析。
严苛的术中种植标准
种植名医亲自种植,严格筛选种植体材料,无菌操作环境,精准的种牙操作标准,韩国美学种植理念。
完善的术后保障体系
麦芽口腔推出会员终身服务体系,提醒患者每年定期维护,给予患者最专业的种植牙护养指导,并提供7*24小时热线预约。
还未做检查?网络预约享0元检查
温馨提示:如您还有关于牙种植的其他疑问,可拨打麦芽口腔热线:0755-82339968,也可在线预约。
*提交信息后,工作人员将致电回访,与您确定到院时间,小麦为您自动排号,为您节省看牙的时间。






















转载
咨询















































