加拿大Jack:这里有最好的环境,也有最好的医生
麦芽智能AI在线 · 点击咨询 来源:麦芽糖编辑社 更新:2019-11-12 13:51
接诊范围·专精疑难
MAC博士智库
专注高龄疑难缺牙
进入医生列表甄选系统·国际品质
六大系统认证
数字化种牙示范基地
植体拥有唯一编码数字科技·精确种牙
运用数字科技
让疑难种牙变简单
申请方案设计数字化口腔精确科技倡导者
以修复为导向
一站式种牙与修复
了解更多*说明:文章信息仅供参考,不作为临床口腔医学诊断依据。
姓名:Jack Gramas
年龄:55岁
国籍:加拿大
职业:加拿大赛车场经理人、中国新东方教师
缺牙原因:法棍面包里的橄榄夹心导致牙齿崩裂
牙齿问题:上牙颌单颗缺失,影响形象
种植方案:单颗种植

Jack种牙前后对比
加拿大Jack来中国种牙
遍访名医选择麦芽口腔
Jack 的母亲是希腊人,父亲是法国人,他们在加拿大成家,Jack在加拿大长大,酷爱骑摩托车,是加拿大的赛车手和赛车场经理人。在加拿大入冬的180天他在中国,加拿大暖和的180天他就会回到加拿大去。十年来,一直如此。

Jack初次来院向我们讲述他的牙齿情况
Jack在加拿大看医生,因为冬天到了,要来中国过冬,由于时间问题在加拿大无法医治,医生建议到中国做这个治疗。随后到中国深圳多方寻医,一个医生朋友告诉他,这个只有到麦芽找郑苍尚院长,他能做,所以Jack就来麦芽口腔找到郑院长,请郑院长帮他做这个牙齿。
牙齿崩裂只因法棍面包
谈及牙齿怎么缺失的,他的回答居然是因为吃法棍面包!!这个回答把在场的人都惊呆了,怎么会因为吃个面包把牙齿磕掉的?他给我们看他在希腊的照片,给我们看榨橄榄的照片,为了美味面包里会有掺杂着各种这样的小东西,结果用力一咬,牙齿就崩裂,没了。

Jack讲述牙齿缺失的过程
Jack见到郑院长用很标准的中文说:"我有六个月时间一直没有牙齿!我要我的牙齿!"

Jack向郑院长说"我要我的牙齿"
郑苍尚院长量身定制种牙方案为Jack成功种牙
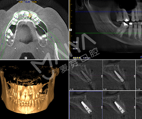
深圳市二院原口腔科主任、深圳麦芽口腔总院长、深圳科技进步一等奖获得者郑苍尚教授在仔细检查Jack的牙齿情况后,通过科学的德国卡瓦数字化口腔CT三维检测,指出Jack因为牙外伤后而导致牙反复发炎松动,牙CT显示牙槽骨严重缺损,不能一期种牙。

郑院长为Jack检查牙齿

3D全景片权威分析
郑院长经过权威分析制定再次种植牙手术的种植方案,首先为Jack拔出患牙做了GPR植骨和保持位点手术,等四个月后缺牙部位形成很好的新骨,再次种牙。
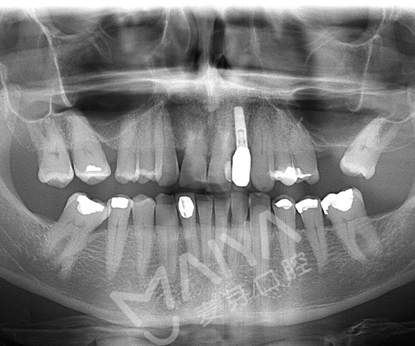
四个月后的Jack再次来院,经过麦芽口腔团队的努力,成功为Jack种上了牙齿,恢复了原有牙列的完美形态,手术的成功使这位德国男子的笑容更加灿烂。

种完牙的口腔全景片
"十年里我从来没有在中国去过任何医院看过任何医生,但是这次却在麦芽口腔见识了中国医生,和中国功夫一样,very good!我在麦芽口腔有最棒的环境,而且这里有最好的医生!"Jack说。

为麦芽医师团队点赞
*提交信息后,工作人员将致电回访,与您确定到院时间,小麦为您自动排号,为您节省看牙的时间。
















转载
咨询















































