喜剧大师种牙记
麦芽智能AI在线 · 点击咨询 来源:麦芽糖编辑社 更新:2019-11-12 19:22
接诊范围·专精疑难
MAC博士智库
专注高龄疑难缺牙
进入医生列表甄选系统·国际品质
六大系统认证
数字化种牙示范基地
植体拥有唯一编码数字科技·精确种牙
运用数字科技
让疑难种牙变简单
申请方案设计数字化口腔精确科技倡导者
以修复为导向
一站式种牙与修复
了解更多*说明:文章信息仅供参考,不作为临床口腔医学诊断依据。
我刚刚过了73岁的生日,很多人问我这么大年纪了还活跃在舞台,会累吗?我想告诉他们, 当你做一件你真正喜欢的事时, 你是不会想要退休的, 你会全身心投入, 我热爱舞台,也很享受给观众带来欢乐的快乐。

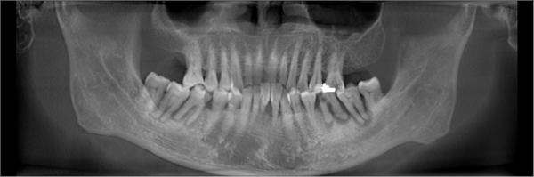
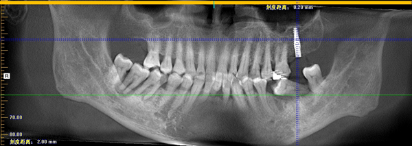
但随着年纪增大, 我牙齿逐渐松动脱落, 更糟糕的是我喜欢咬硬东西, 牙齿磨损得厉害,有一次不小心就把牙齿给咬断了。不仅痛,还刺激到牙神经很不舒服。拔了几颗牙齿之后,吃东西咀嚼都很艰难,味道也跟之前完全不同了。档期满满的,缺牙问 题 一 直 没有时间解决,让我非常困扰。牙齿缺失随之而来的是说话漏风、台词都念不准,我担心无法呈现最完美的一面给观众。

刚考虑种牙的时候,我也跟大家一样各种担忧,担心种牙痛不痛、 安不安全,等等……作为公众人物,我经常有机会访问国内的医疗机构, 在综合对比后我发现,麦芽的各项设施和技术都处于行业领先水平,设备齐全,环境干净,最重要的是他们还拥有一支由硕博专家领衔的医疗团队。

我对麦芽专家团队很有信心, 所以整个过程是全然地放松。麻药注射后我就感觉自己的嘴角慢慢失去知觉,感觉就是喝一杯咖啡的时间吧就种好了,后来我问经纪人,她说只用了8分钟!

*提交信息后,工作人员将致电回访,与您确定到院时间,小麦为您自动排号,为您节省看牙的时间。
















转载
咨询















































