今天终于帮妈妈把牙种上了
麦芽智能AI在线 · 点击咨询 来源:麦芽糖编辑社 更新:2019-11-12 19:59
接诊范围·专精疑难
MAC博士智库
专注高龄疑难缺牙
进入医生列表甄选系统·国际品质
六大系统认证
数字化种牙示范基地
植体拥有唯一编码数字科技·精确种牙
运用数字科技
让疑难种牙变简单
申请方案设计数字化口腔精确科技倡导者
以修复为导向
一站式种牙与修复
了解更多*说明:文章信息仅供参考,不作为临床口腔医学诊断依据。
母亲:最自豪的一口好牙,居然啃骨头崩掉了
家住罗湖区赵阿姨年轻时是企业单位骨干型人才,对形象要求甚高,而最让赵阿姨自豪的就是那一口好看的牙齿,可是岁月不饶人,就在前两年赵阿姨在咬猪骨头的时候把牙齿崩断了仅剩下残根,后来去医院拔掉了。因缺牙造成咀嚼困难、食欲不佳,赵阿姨曾多次到医院做"补牙"、"镶牙"、"假牙",但最终效果都不尽如人意。
孝顺儿子:母亲缺牙痛,儿子很心焦
谢先生虽然平时工作繁忙,但为了给母亲找一家专业权威的口腔机构,他在网上可没少下功夫,同时也搜集了大量关于种植牙的信息。在看到麦芽口腔活动宣传后帮妈妈报名的,种牙日活动当天,早早便携带妈妈来院现场考察,观摩。

赵阿姨了解种植牙情况

医生为赵阿姨检查牙齿情况

赵阿姨牙齿缺失情况
"麦芽口腔服务真是好,来院检查、拍CT片,每一个环节都有专门的客服人员引导,非常贴心、数字化的口腔诊疗环境,也让我很安心,即使不中奖,选择在麦芽口腔给母亲种牙我很放心",儿子谢先生高兴的说道。看着母亲开心的笑容,谢先生不断地向麦芽口腔工作人员表示感谢!

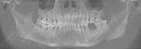
赵阿姨拍摄口腔全景ct

口腔ct全景片

术前模拟
麦芽口腔: 10分钟为妈妈种上牙齿,牙口完好如初
"原来种植牙手术一点都不痛,十几分钟就种完了,非常高兴主办方举办这次活动,让我从中受益",赵阿姨高兴的像个孩子说道。

赵阿姨术前准备

术前消毒

植入种植体

种牙完成后的牙齿

术后口腔全景ct
麦芽口腔种植医师团队对赵阿姨的情况全面分析,为其量身定制麦芽MAC数字化精确种植牙,通过模拟导航把握种植角度,深度,吻合度,准确快速找到最佳植入位置,稳固耐用可超过几十年。赵阿姨不停点赞:"儿子打电话帮我预约的,今天早早便催我出发,不忍辜负儿子的一片孝心,所以今天就过来了,没想到这里的条件这么好,医护人员都很热情很专业,环境一流,技术一流。"
麦芽口腔种植医师团队表示:"牙齿缺失情况在中老年人非常普遍,但是大部分中老年人及家属对这一情况是缺乏足够重视的。"
作为深圳口腔新锐品牌,麦芽口腔为饱受缺牙及牙齿疾病的"缺牙人"提供专业的牙缺失解决方案和保障的同时,提供一定程度的牙齿修复基金减免乃至全免费种植牙修复的利好。
*提交信息后,工作人员将致电回访,与您确定到院时间,小麦为您自动排号,为您节省看牙的时间。
















转载
咨询















































