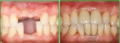
症状
半口残根烂冠上颌咀嚼功能丧失
方案
上颌咬合重建植入种植体后佩戴临时冠
长期缺牙骨量萎缩上下牙颌咬合关系重建
MAC数字化精确种牙定制all-on-4恢复一口好牙
活动牙致牙周疾病长期多颗缺牙骨量不足
MAC精确方案设计牙周病情稳定后完成种牙
侧切牙意外断折牙槽骨壁少量骨萎缩
GBR保持位点结合MAC数字化精确美学种牙
侧切牙意外断折牙根松动无法留存使用
MAC数字化精确种牙植入植体后佩戴临时冠
下颌牙多颗缺失
MAC数字化精确种牙搭配冠桥减少种牙费用
麦芽口腔数字化精确种植科,精选全球六大种植系统,以精确、微创、舒适、美观、个性化的修复为导向,通过MAC数字化精确五大闭环,实现一站式精确种牙与修复,术中采用无痛技术,配备心电综合监护仪器,保障手术的安全,依托集团强大实力,搭建博硕专家智库,运用数字科技,突破种牙难题!
以下是为您准备的文章,后续还会更新!若有相关疑问,咨询工作人员更便捷。
种植牙,给你一辈子好口福
据调查表明,约90%网友认为认为缺一两颗牙无所谓,旁边的牙齿照样可以咀嚼。其实不然,牙齿缺失不仅会导致牙周疾病的...
7大种植牙热门问答
种植牙自问世以来受到广大牙缺失患者朋友们的青睐,种植牙对于各类牙齿缺失问题,如单颗牙缺失、多颗牙缺失、全口牙缺失...
深圳种植牙哪家医院好
顾客预约: 男、37岁 医生你好,我的一颗门牙上个月受到撞击缺失了。我想去做种植牙修复,想要预约一下,牙齿缺失深...
种植牙多少钱一颗?
据口腔健康统计数据显示,我国近3成人牙齿长期缺失得不到修复,导致缺牙人群咀嚼功能减退、消化功能受损、面部变形等诸...
种植牙的危害
如今种植牙的技术越来越成熟,使得种植牙效果稳固且寿命长久,从而得到了越来越多缺牙人士的青睐,甚至被喻为人类的第三...
种植牙术前术后注意事项
种植牙修复做为一种理想的的牙齿修复方式,不管是美观效果还是咀嚼功能远远超过镶牙的效果,受到越来越多缺牙朋友的青睐...
罗湖区深南东路2102号振华大厦(湖贝站2号线C出口、5号线E出口)
预约热线:852-6649 8803 投诉热线:0755-2230 9045
南山区南山大道1153号天源大厦(地铁11号线南山站B1出口)
预约热线:852-6649 8803 投诉热线:0755-2296 5678
宝安区前进一路90号万悦格兰云天酒店2楼(地铁5号线灵芝站B出口)
预约热线:852-6649 8803 投诉热线:0755-2236 5678
福田区彩田南路3002号彩虹大厦(地铁1号线岗厦站F出口)
预约热线:852-6649 8803
龙华区和平路204号赛龙豪轩B栋(地铁4号线龙华站B出口)
沙井中心路金达城大厦/佳漾汇商场对面(地铁11号线沙井站D出口)
光明区大仟里购物中心B区下沉一层(公明广场站6号线D出口)
深圳市罗湖区人民南路1008号大中华环球金融中心南塔10楼(地铁1号罗湖站E2出口)
预约热线:0755-8233 9968
广东省惠州市惠城区南岸路121号成隆大厦
预约热线:0752-2559956 投诉热线:0755-22309045