种植牙,给你一辈子好口福
麦芽智能AI在线 · 点击咨询 来源:麦芽糖编辑社 更新:2019-11-14 19:21
接诊范围·专精疑难
MAC博士智库
专注高龄疑难缺牙
进入医生列表甄选系统·国际品质
六大系统认证
数字化种牙示范基地
植体拥有唯一编码数字科技·精确种牙
运用数字科技
让疑难种牙变简单
申请方案设计数字化口腔精确科技倡导者
以修复为导向
一站式种牙与修复
了解更多*说明:文章信息仅供参考,不作为临床口腔医学诊断依据。
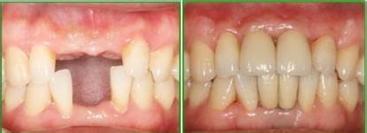
据调查表明,约90%网友认为认为缺一两颗牙无所谓,旁边的牙齿照样可以咀嚼。其实不然,牙齿缺失不仅会导致牙周疾病的发生还会影响美观、使人显老,危害很大。特别是老年人,牙齿缺失更会加重肠胃消化系统压力,影响进食。因此,缺牙的朋友应该尽快修复牙齿。从目前口腔发展来看,种植是最好的修复方式。<直接预约>

为什么牙缺失要选择种植?
国际口腔种植医师学会会长、深圳市名医、深圳市科技进步奖一等奖郑苍尚教授指出,人工种植牙又称种植义齿,它是用生物材料制成的一种仿生牙,分为植入人体颌骨内起支持固定作用的种植体和承担咀嚼作用的牙冠两部分。医生根据患者失牙后牙槽骨及颌骨的变化,选用一定形状的种植体植入颌骨内作为人造牙根,然后在其露出口腔内的种植桩上安装牙冠,获得与天然牙相似的形状及功能。
现在预约,查看价格信息

种植牙有哪些优点?
与可摘义齿相比,种植牙是固定修复,不需要每日摘戴,有更好的舒适性,在适应后,几乎没有异物感。和烤瓷牙相比,种植牙不需要磨损邻牙,且使用寿命更长。种植牙的受力方向更合理,有利于保护邻牙和保存牙槽嵴。
种植牙痛吗?
麦芽微创微痛种植牙给你一辈子好口福
麦芽口腔作为一家专业的口腔机构,拥有经验丰富的资深种植牙医生,应用国际当先全数字化口腔种植模式,根据亚洲人骨骼、骨量、骨密度、牙槽骨高度、宽度等口腔环境及人体的耐受度,深入研究,在种植牙的微创性、精准性、即刻性、以及骨结合性方面有突破性的进展,形成了“麦芽微创微痛种植牙”技术。
我的口腔情况适合种牙吗?
快捷性:治疗及愈合时间较短,全程从3至6个月缩短为三周左右。
微创性:治疗过程采用微创技术,更快康复。
性:全景设计种植部位、深度及角度,做到科学。
耐用性:纯钛种植体,生物相容性好,恢复真牙的咀嚼功能。
美观性:采用1:1仿生个性化美容设计,形态色泽胜似真牙。
种植材料精挑细选 严苛种植流程
严格的术前检查
严格检查口腔健康情况,牙周病等需先得到有效治疗和控制,否则种植牙失败的几率很高。
精准的影像检查数据
口腔CT扫描获取种植位点骨宽、高度、骨密度数据,根据骨量进行最科学、最适合的种植手术方案设计分析。
严苛的术中种植标准
种植名医亲自种植,严格筛选种植体材料,无菌操作环境,精准的种牙操作标准,韩国美学种植理念。
完善的术后保障体系
麦芽口腔推出会员终身服务体系,提醒患者每年定期维护,给予患者最专业的种植牙护养指导,并提供7*24小时热线预约。
还未做检查?网络预约
温馨提示:如您还有关于牙种植的其他疑问,可拨打麦芽口腔热线:0755-82339968,也可在线预约。
*提交信息后,工作人员将致电回访,与您确定到院时间,小麦为您自动排号,为您节省看牙的时间。























转载
咨询















































