症状
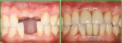
半口残根烂冠上颌咀嚼功能丧失
方案
上颌咬合重建植入种植体后佩戴临时冠
长期缺牙骨量萎缩上下牙颌咬合关系重建
MAC数字化精确种牙定制all-on-4恢复一口好牙
活动牙致牙周疾病长期多颗缺牙骨量不足
MAC精确方案设计牙周病情稳定后完成种牙
侧切牙意外断折牙槽骨壁少量骨萎缩
GBR保持位点结合MAC数字化精确美学种牙
侧切牙意外断折牙根松动无法留存使用
MAC数字化精确种牙植入植体后佩戴临时冠
下颌牙多颗缺失
MAC数字化精确种牙搭配冠桥减少种牙费用
麦芽口腔数字化精确种植科,精选全球六大种植系统,以精确、微创、舒适、美观、个性化的修复为导向,通过MAC数字化精确五大闭环,实现一站式精确种牙与修复,术中采用无痛技术,配备心电综合监护仪器,保障手术的安全,依托集团强大实力,搭建博硕专家智库,运用数字科技,突破种牙难题!
以下是为您准备的文章,后续还会更新!若有相关疑问,咨询工作人员更便捷。
种植技术有哪些?
麦芽口腔总院长郑苍尚教授指出,缺牙后如果长时间不修复会对身体产生诸多不良影响,特别是后牙的缺失会大大降低咀嚼能力...
做种植牙需要多久?
顾客问诊: 做种植牙需要多久能完成呢? 在线回复: 正常情况下,种植牙大约需要3-6个月完成。如果牙槽骨状况良好...
种植牙的寿命有多长
随着种植牙技术的不断发展,其优势被越来越多的人认可,种植牙成为众多牙齿缺失患者的理想之选,但种植牙耐用吗,到底能...
种植牙有哪些利弊?
据簇新数据统计,我国3成人群正在经受牙齿缺失困扰,而传统的烤瓷牙需要磨牙搭桥,伤害邻牙,咀嚼功能也不佳;活动义齿...
防疫新型冠状病毒肺炎,在家预防牙齿疾病
2020年新年期间,中国爆发了名为新型冠状病毒感染性肺炎的疫情,为避免进一步扩散,全国多省已启动重大突发公共卫生...
新冠期间如何避免牙疼?教你16秒快速止牙痛
随着冠状病毒感染性肺炎疫情的爆发,国际呼吁广大民众不到万不得已不出门,出门必须戴口罩。新冠病毒的传播方式之一就是...
罗湖区深南东路2102号振华大厦(湖贝站2号线C出口、5号线E出口)
预约热线:852-6649 8803 投诉热线:0755-2230 9045
南山区南山大道1153号天源大厦(地铁11号线南山站B1出口)
预约热线:852-6649 8803 投诉热线:0755-2296 5678
宝安区前进一路90号万悦格兰云天酒店2楼(地铁5号线灵芝站B出口)
预约热线:852-6649 8803 投诉热线:0755-2236 5678
福田区彩田南路3002号彩虹大厦(地铁1号线岗厦站F出口)
预约热线:852-6649 8803
龙华区和平路204号赛龙豪轩B栋(地铁4号线龙华站B出口)
沙井中心路金达城大厦/佳漾汇商场对面(地铁11号线沙井站D出口)
光明区大仟里购物中心B区下沉一层(公明广场站6号线D出口)
深圳市罗湖区人民南路1008号大中华环球金融中心南塔10楼(地铁1号罗湖站E2出口)
预约热线:0755-8233 9968
广东省惠州市惠城区南岸路121号成隆大厦
预约热线:0752-2559956 投诉热线:0755-22309045