幸福晚年有口福
麦芽智能AI在线 · 点击咨询 来源:麦芽糖编辑社 更新:2019-11-12 19:39
接诊范围·专精疑难
MAC博士智库
专注高龄疑难缺牙
进入医生列表甄选系统·国际品质
六大系统认证
数字化种牙示范基地
植体拥有唯一编码数字科技·精确种牙
运用数字科技
让疑难种牙变简单
申请方案设计数字化口腔精确科技倡导者
以修复为导向
一站式种牙与修复
了解更多*说明:文章信息仅供参考,不作为临床口腔医学诊断依据。
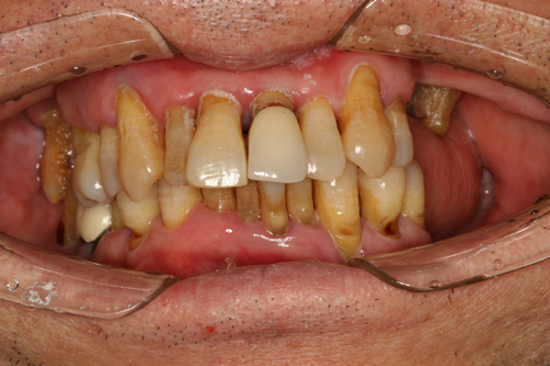
年青时奋斗,老了诸多不便,只想过简单的生活,和朋友一起尝美食、旅游、唱唱歌。我牙口不好,十几年前就安装了假牙,但当时技术、条件并不好,假牙用过几年后就脱落了,后来又查出有晚期牙周炎,经过拔牙、治疗后,仍然没有达到满意的效果,治疗后的牙冠不好用,吃东西塞牙、无味,很是痛苦。


于是我下定了决心要修复牙齿,但不想再折腾受折磨,在选择做种植牙前,我做了很多功课。几经对比、了解后,通过去麦芽实地考察,参加了他们的几次学术活动,如数字化口腔种植学术论坛、华南疑难口腔种植论坛等,还通过网络、报纸等媒体集了很多关于麦芽的资料,我认定了麦芽,感觉他们是真的实实在在为人民服务,实实在在的在做实事。

郑苍尚院长为其检查牙齿情况

麦芽口腔的郑苍尚院长为我量身定制了"微创无痛数字化口腔种植牙"技术,种牙过程很舒适,就像被蚊子"叮"了一下牙就种好了,全程无痛,种完后也不肿不痛的,相信麦芽就是相信科学。

*提交信息后,工作人员将致电回访,与您确定到院时间,小麦为您自动排号,为您节省看牙的时间。
















转载
咨询















































