宝妈:迟来6年的矫牙之旅,我的矫牙一波三折
麦芽智能AI在线 · 点击咨询 来源:麦芽糖编辑社 更新:2019-11-25 10:38
*说明:文章信息仅供参考,不作为临床口腔医学诊断依据。
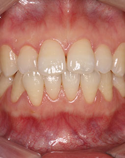
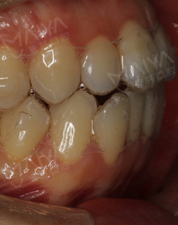
过去的困扰
说起我的矫牙之路真的是一波三折,我真的等了6年!在读护理专业的时候,因为牙齿不好看,显得嘴凸,我就想想通过矫正把牙齿排齐,无奈当时并没有什么钱。后来升职加薪后就更关注自己的外貌,然而动辄上万元的矫牙费用,对于毕业没几年尚无积蓄的我来说是一件奢侈的事,但是矫牙的念头在我心里植下了根。
2014年,即将步入婚姻的殿堂,希望有口漂亮的牙拍出美美的婚纱照,只是隐形牙套尚未普及,实在接受不了丑丑的钢牙!婚后经济实力都可以,想矫牙的时候发现自己怀了宝宝,怕孕期影响到宝宝健康,又搁置了......

改变开始
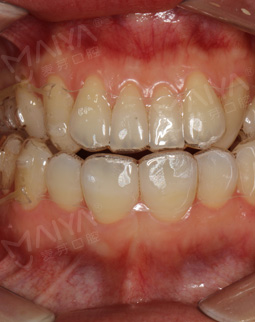
2018年7月 现在佩戴第五幅牙套,非常舒适
转眼3个月了,戴的牙套没有任何感觉,跟朋友说话,吃饭其实都不影响的,不过就是吃东西的时候要摘下来,家里的小朋友逐渐懂事,会好奇透明的东西是什么,不过身为一名医护的职业反射,对小朋友牙齿这块还是注意的~今天看了牙,顺便带小朋友检查一下牙齿,然后再补过一个儿童节~
我的牙齿左侧上下植入支抗钉,这是为了更好的矫正,一点也不疼哦,所以说别看都是一样的牙套,不一样的医生做效果还是有区别的,所以选择去哪里的时候,还是要好好看一下效果和医生资质这些

2018年5月 矫牙的宝宝们也要时刻注意自己口内状况
复诊的时候到了,戴着我的牙套去补牙了,说起这个烂牙也是因为咬合不佳造成细菌滋生的,身为医护,其实自己的牙齿应该很注意才对,都是之前抱有侥幸的心理,所以提醒各位想矫牙的同学,要早点看牙医!不过烂牙当然不影响我矫正,补牙的是另一位全科医师,也很细心,用的是3m树脂的材料,真的和真牙颜色一样~
接着说复诊,医生说和3D动画的步骤一样,问我有什么不适没有,就是吃东西的时候要摘下来,其他的也没有影响我的日常工作~

2018年4月 期盼了6年的牙套,真的非常精致
终于戴上了期盼6年的牙套,好美哦,忍不住发了朋友圈晒一下~好精致的牙套,医生说双膜的提速,是需要交替戴一下,所以第一周戴薄的,第二周戴厚的,看着小小的牙套,面对牙齿的时候就是展现它能量的时候了,材料都是很安全的~
第一次戴牙套没有任何不适感,医生亲自教佩戴,后来我只用了不到20秒,而且摘的时候也很方便,薄膜的牙套会比较软一些,医生讲的很细心,而且隐形的一点都看不出来,回家后宝宝也看不出来异样,很期待矫牙后的样子~

2018年3月 来麦芽检查牙齿,选择时代天使双膜
孩子也快两岁了,终于可以安心矫牙了,当麦芽正畸医生给我介绍隐形矫正,并提到麦芽双膜隐形牙套可以提升矫牙速度30%时,其实内心有点激动又有点小遗憾,因为如果早知道有麦芽双膜隐形矫正这回事,我就能在结婚前把牙齿排齐了,拍出美美的婚纱照了!
整体过程很顺利,不过医生检查的时候说有个坏牙,建议我趁早补一下,当然医生说其他的牙齿是没有问题的,不过烂牙不影响矫正,接下来流程很顺利,拍片、检查、方案都一步步的来,还有那个计算机模拟矫正方案,好先进的设备啊~~~


*提交信息后,工作人员将致电回访,与您确定到院时间,小麦为您自动排号,为您节省看牙的时间。












转载
咨询














































