麦芽版“尼格买提”:谁说男人不用注重仪表?
麦芽智能AI在线 · 点击咨询 来源:麦芽糖编辑社 更新:2019-11-27 14:53
*说明:文章信息仅供参考,不作为临床口腔医学诊断依据。
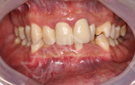
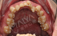
过去的困扰
因为长相酷似央视主持人尼格买提而被称为麦芽版“尼格买提”,却在管理上遇到了瓶颈——一张口就把人吓到,常常留给别人“太凶、太高傲、不苟言笑、过于严肃、太严厉、不易亲近”的印象…

改变开始
2019-06-09矫牙真的可以提升个人魅力
矫正满一年多啦,带完了一半的牙套了,剩下的还要继续坚持,牙齿逐渐整齐了,我感觉自己年轻了10岁差不多,现在时不时拍个照都想露自己整齐的牙齿!同事说我比之前更亲和了,还有人称呼我“小尼”,其实我知道这就是牙齿变齐了,整个人的魅力都提升了!

2018-05-15矫正后的改变
牙齿矫正是一件漫长的事情,是急不来的,而且每个人的基础不一样、矫正时间也有所差异,有的人需要一年,有的人需要一年半的时间。所以,牙齿矫正一定要有耐心。
我现在矫牙后4个月了,我发现管理难度降低了,同事们说我更爱笑了,具有亲和力的微笑给他们一种温暖的感觉,不再是之前那个看着很凶,严厉的领导了。现在他们喜欢管我叫“阳光萌叔”,但我还是觉得“小尼”比较适合我帅气的外表。

2018-01-25蜕变人生,我选择麦芽全隐形矫正
麦芽数字化隐形矫正矫正器完全透明,即使站在我对面说话都无法发现,外出接洽我也不再惧怕张口交谈。试想一下,去参加什么会议、参加聚餐戴个钢丝牙套,真的难以想象会有多尴尬!而且隐形牙套它摘戴自如,吃东西前自己就能快速摘下,完全不影响我大饱口福,我开始能够真正享受我的工作与生活。
第一次试戴隐形牙套,戴隐形牙套就像戴隐形眼镜一样,刚开始不熟悉,后面就会很好戴,因为是试戴,江洋主任给我示范了好几次,我自己也试着摘戴好几遍,江洋主任真的很耐心,点赞,一共53副,然后一到两周换一副,要带好久啊,不过好期待矫牙后整齐的牙齿!

2018-1-10矫牙要趁早啊,小伙伴们
在许多人的印象中,矫牙只属于青少年,30岁之后再矫牙就然并卵了。主任一语点醒梦中人:人的牙槽骨一生都处于变化之中,矫正并非小孩子的“专利”,成年人的牙齿矫正治疗与儿童矫正治疗原则无异!但较儿童矫正时间长,难度大,对美观要求高,所以矫牙要趁早啊,小伙伴们!
主任给我做了矫牙方案设计,这是3D隐形矫牙动画预览, 显示牙齿不齐的动画,提前预知矫牙后效果,每一步都可以看到矫牙后的牙齿形态,真的很安全放心。让我矫牙过程中一点都不担心会不会矫正会出现其他问题。


2018-1-1在麦芽开始我的矫牙之旅
身为公司管理层,平时待人接物不仅仅代表自己,还代表着公司形象,一口鲨鱼牙怎能为麦芽代言?而且注重仪表的我,怎能允许自己在洽谈时露出钢牙套?于是我决定立即在麦芽开始隐形矫牙之旅。

*提交信息后,工作人员将致电回访,与您确定到院时间,小麦为您自动排号,为您节省看牙的时间。












转载
咨询














































