幼师:矫牙果然没有快速捷径,还是得稳
麦芽智能AI在线 · 点击咨询 来源:麦芽糖编辑社 更新:2019-11-27 14:38
*说明:文章信息仅供参考,不作为临床口腔医学诊断依据。
过去的困扰
我是一名幼儿园的老师,我喜欢孩子的天真可爱,每天和孩子们在一起,让我时刻保有一颗童心!但是因为牙齿不齐小朋友有点害怕我,有时候被小朋友天真的问“老师,你的牙齿怎么是歪的呢?”,这让我时常陷入尴尬。内心并不成熟的我贪了小便宜图了省事,跑到外地的小诊所选择金属矫牙,也就是大家口中所说的小钢牙!然而事实并非我所愿,五个月的时间不能适应,主要吃流食。为了变美我忍了,但当我看到牙骨越来越外突,我当时都懵了,说起我的矫牙过程简直比唐僧取经还要坎坷!

改变开始
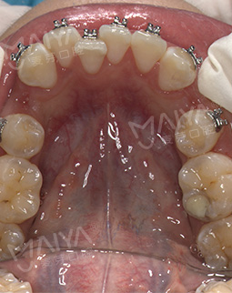
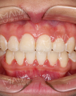
2017/05/30 矫正完成
最后的最后,矫治器,“一半靠医生,一半靠自己”。在麦芽我看到很多二次矫正的案例,都是因为没有戴保持器,我觉得我很听话,为了美为了自己,医生说可能要戴个一两年,后戴的时间会越来越短,后面就应该完全可以脱离了~~想想很合算,矫牙一两年幸福一辈子,辛苦点又算的了什么?矫牙变美我做到了,我预祝更多的宝宝都能有个整齐的牙齿变成美美的自己,人间值得!!!
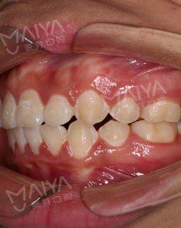
2017/04/22 矫正结束前
不说了,直接看效果吧,同样的牙套,曾经选择错误的医生让我不适应,而麦芽医生把我的脸型都整好看了,这就是差距!!别看同样的产品,不同的医生使用效果是不一样的,千万不要像我一样,更不要比价格什么的,牙套就那几款,但是下次让我第一次选择的时候我一定会先看效果再看价格,麦芽的性价比是真的高!顺便洗了个牙,我觉得我以后的牙齿问题可能都会在麦芽了,这里有一群厉害的医生,让我很放心!
幼儿园的小朋友更愿意和我亲近了,说喜欢何老师上的课,喜欢和何老师玩~~~很多人问我是不是参加了“变形记”,有的人还问我在哪里整容的,脸型怎么这么好卡性格比之前更开朗了!其实我只是牙齿参加了变形记,矫牙美脸说的就是我了,没有整容!一年前有多伤心有多苦恼,今天笑的就有多开心!未来,我会一直坚持做一名园丁,为更多的小朋友带去欢乐~~~

2017/03/17 矫正过程中
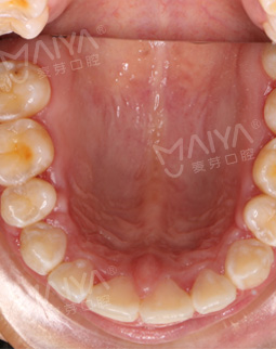
摘牙套前最后的一次拍照了,先看看牙,整齐啦!医生说等完全排齐后我就直接可以脱掉这些金属的东西了,想想好开心,吃盘龙虾奖励自己~~

2017/02/14 矫正过程中
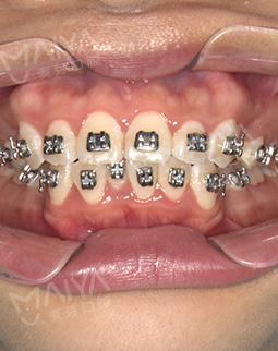
欲速则不达!矫牙按部就班,医生说我排齐的不错,就是还有点咬合的问题,不过后期都是慢慢可以调整的,也是很nice了!另外托槽,皮筋,橡皮链这些如果掉了要及时去找医生黏贴好,如果你等到下次复诊再去,那么这段时间很有可能你的牙正在走弯路。也就延长你整牙时间了。
2016/12/25 矫正过程中
相信很多人从网上也好,从别人口中了解也好,说整牙出现牙套脸,说的是什么太阳穴塌陷什么的,我反正没有这种症状了!像我吧,虽然让张主任调整了牙齿,但是牙齿上的金属牙套没有力那是不可能的,所有我吃饭吃的比较慢,跟正常的饭量一样。不过,像那些咀嚼肌的问题我不是很专业,可以问问医生~~但是提醒宝宝们,吃饭还是要的,身体健康最重要,如果戴牙套连饭都吃不好,那我觉得就是像我一样要调整了,吃完也要及时清理自己口腔。

2016/12/03 矫正过程中
“对比第一次矫牙,我的变化还是很明显的对吧,哈哈,看到侧貌的变化,我真的乐坏了!感谢麦芽口腔,侧貌的线条真的精致了很多,之前嘴巴和下颌都外凸,现在都收回去了,比心麦芽口腔。明明是想通过矫正变美,却因错误的选择而受罪。”
2016/11/02 矫正过程中
又到了复诊时间了,医生助理来短信啦!比心!!由于要给孩子们上课,所以让助理小姐姐调整到周末,孩子们放假的时候,然后帮我预约了医生的时间,这样一来,去了不用排队,有时间还能去东门逛一下!不耽误时间是真的,而且又不需要半个月换牙套什么的,就是没有人家隐形的牙套美观倒是真的,但是我不Care!!!我觉得很多上初中上高中的学生党选择金属的就可以啦,成年人也可以,只要自己觉得OK管别人咋说呢,大可放心好了!

2016/10/03 矫正过程中
在麦芽矫正后,越来越有底气,相信一定可以达到我想要的样子!在幼儿园,孩子们调皮的说,老师牙齿贴的银片片,也是真的可爱了~~~虽然戴了金属牙套,但是自从在麦芽调整后,我的心情也好了很多,时不时的和小朋友露牙笑一下下,然后会耐心的教他们好好刷牙,爱护自己的牙齿~~~

2016/09/01 矫正过程中
逐渐的我都可以吃一些稍微硬一点的东西了。麦芽的服务是真的贴心,还有客服打电话来,不同的是,以往印象中的客服都被当成骚扰电话一样,但是我接到电话的时候,客服小姐姐和温柔,问我感觉怎么样,有问题的话可以直接找他们,心里真的很感动!麦芽真的是一家很温馨的医院,人情味很浓,当然了我是实事求是的说好就好,想矫牙的仙女们接到电话的时候如实反馈就好了,就是别把人家当骚扰电话哈,嘻嘻~~~
2016/08/15 矫正过程中
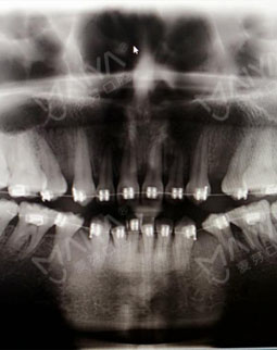
“复诊医生都会贴心提醒,躺在牙椅上的时候,张主任都会用数字化3D口扫给我重新检测咬合关系,一点点调整,所以矫牙真的是个精细活,如果没有步入矫牙大军,很多细节我到今天可能都不清楚。现在牙齿逐渐排齐,脸型也慢慢在改变,好期待改变后的自己!”


2016/07/15 矫正方案制定
终于又等到周末啦!这一次作为患者来到麦芽,进门后客服笑盈盈的给我开门,然后填了单子,就有专人带我去见麦芽的主任了,主任和照片上一样平易近人,让我和医生的距离一下子就拉近了,耐心的听了我的苦恼。为了看一下我的牙齿,客服带着我还拍了片,这是我在之前矫正的时候没有的环节。看到电脑上显示的自己的牙齿,对这种高科技的东西着实惊了一下,相信很多人和我一样都觉得矫牙就是医生看一下,就开始戴牙套了,但是这一刻我终于明白了,矫牙并不是你以为,技术设备医生这些都很重要。
张主任指着片子说,牙齿错过了最好的矫牙年龄,而且又矫牙失败,我的属于疑难矫正了,但是还是可以矫正好的!然后为了减轻我的痛苦,让我继续戴现在的牙套,但是要分阶段调整一下,我非常开心感觉牙齿还有救,当天医生给我调整好之后,牙齿就舒服了很多,我的心情也是多云转晴!!!

2016/07/1 矫正初诊
“发现自己的脸型越发前突之后,我做的第一件事就是找个靠谱的口腔机构,重新矫正牙齿,当时满脑子想的就是,钱已经不重要了,就希望脸型能扭转过来,满心后悔自己当初的选择,强烈呼吁想矫牙的妹子们,别觉得牙齿矫正就只看价格,真的,医生的技术实在太重要了。鉴于第一次的情况,我重新选择机构的时候,特别看重医生的过往矫牙病例,除此之外,还多方打听对比看医院的口碑和规模,最后选择了麦芽口腔。”

*提交信息后,工作人员将致电回访,与您确定到院时间,小麦为您自动排号,为您节省看牙的时间。












转载
咨询














































