网络主播:一副牙套让我变成了粉丝眼中的女神
麦芽智能AI在线 · 点击咨询 来源:麦芽糖编辑社 更新:2019-11-27 15:25
*说明:文章信息仅供参考,不作为临床口腔医学诊断依据。
过去的困扰
工作闲于时间,宝宝还是一位网络上的主播,很多人喜欢称我们为“网红”,印象中的大约是,滤镜开到最大、美颜开到最高、还要磨个皮瘦个脸,但是不得不吐槽的是,如今还没有一款app可以把牙齿p整齐,我主播的时候被粉丝冠以“高冷”的标签,其实这并不是真正的我,日常生活中更多朋友称呼我为“猴子请来的逗比”,所以面对粉丝的时候只能尽量不笑,尽量张口不露牙,最近直播的时候看镜子里的牙齿越来越歪了,一度情绪失控,接受不了这样的自己.......我决定为自己牙齿做个蜕变!

改变开始
2018/08/22 和运动明星同款,不要太羡慕哈
雅加达亚运会开始啦,本宝宝是个运动迷!去麦芽复诊的时候,听说麦芽在某音很火的王医生也去了,我戴的天使版的牙套还是国家体育总局一起合作什么的,想起我大白杨的整齐牙齿,哇哦,顿时感觉很高大上啊,在麦芽还有很多宝宝跟我一样戴的都是同款啊!!!!很遗憾没有到现场跟运动健儿加油,时代天使的贴纸被我拿出来晒了,主要这次牙齿也可以拿出来晒了,来自本宝宝的足球宝贝装,真的是笑的最开心灿烂的了,在此预祝中国健儿赛出好成绩!


2018/06/17 取模升级数字化,真的不要太方便
告诉大家一个好消息,今天是去复诊顺便带朋友的朋友来做隐形矫正!然后重点的重点来啦!取模现在居然升级到数字化了!!!! 想本宝宝刚矫牙的那会,取模还要咬个模,但其他的都是数字化,真的没有对比就没有伤害啊!!!一分钟取模,拍片,然后看诊,听说深圳才有的哦!!!科技改变生活啊,本来我都做好陪她半天的准备了,然后没一会就好了,本宝宝也体验了一把,给粉丝宝宝们用我的亲身实验说一下,取模舒服,牙刷一样的东西在口内扫一圈,然后有个屏幕,展示出来的超级清楚,不知道大家小时候玩过水泥胶没有,那个感觉很立体,总之戴的牙套更清楚了,来矫牙的宝宝真的有福了,收费的话我朋友没收费,其他的问问他们院内客服吧!!!

2018/04/21牙套也不能我是个吃货
很多人说为什么矫牙到现在了,拍照怎么还是不习惯露牙齿,还是闭口照片,本宝宝就是经常这么任性,美美的图真的不想留一点瑕疵哟,不过牙齿基本快齐了,在调整中啦!本来想露个牙,但是最近长肉肉了,拍照看着我好胖啊,怕吓到小仙女们,真的是在吃的面前,牙套都不能阻挡我!谁让牙套真的不影响饮食呢?露张微微露的吧,心机的老阿姨再教你们一招,拿头发遮挡了半块小脸又成了原来的样子了,等下次燃烧我的卡路里,期待我的小惊喜吧!!!
2018/02/02 矫牙后高冷标签升级为女神标签
牙套戴了之后,感觉活得越来越精致了,从细小的牙线,到生活中的方方面面,直播的时候粉丝亲自为我摘去“高冷”标签,更多的弹幕是女神女神的称呼,看到粉丝这么说还有点小害羞,戴牙套和粉丝互动,声音还是原来的声音,反而让我更自信,气场全开:Hello everybody!这就是隐形牙套带给我生活的改变,和老朋友联系,都发现我不一样了,夸我也太好看了吧,仙女宝宝们想矫牙的一定要选择隐形的啊!!!!就是那个透明的牙套一定pick他!冲鸭!!!! PS:上次复诊偷拍的诊室的一盒盒快递竟然全是牙套,快说粉丝们不是被我推荐去的?

2017/11/16矫牙一年,瘦成V字脸
脸型好看了有木有,矫牙一年多啦!在这里教大家一个不用瘦脸也能拍出瘦脸的秘诀,拍照的时候从上往下拍,然后不张口的话左右两侧的牙齿咬住旁边的肉肉,但是不要太明显,瘦成V字脸~不过我直播还是朋友圈拍照都没有开瘦脸,宝宝脸型是真瘦了,100%原装脸,还是有辨识度的嘛!看看我的牙齿是不是很美啊~~再坚持坚持就可以告别牙套了,我身边的小伙伴们也都跟我差不多,哈哈哈,谁说网红就只是整容,整牙一样美美哒,你们想选择的话,麦芽隐形牙套的很推荐哦!

2017/09/14来院复诊啦,矫牙都在节奏上
昨天麦芽客服提醒我该复诊了,今天去复诊路上坐地铁无聊打了一盘王者,真衰,宝宝发誓一周之内再也不玩法师了!!!!本来怒气满面的,进了之后客服小姐姐笑容满面,又是倒水又是给点心的,头上的乌云顿时就消散了,院内还是一如既往的清香的味道,掩盖掉消毒水的味道,偶尔还能听见一些轻音乐,整个身心都放松了不少,医生说我矫牙都在节奏上,又拿那些一次性的器具给检查了检查,一切都按部就班,奖励自己一朵可耐的小发发and大大大的冰激凌~


2017/08/10 佩戴牙套一定要及时清理口腔健康
说一下昨天发生的趣(qi)事(pa),有个朋友生日嫌牙套摘的麻烦,喝的咖啡饮料都直接灌下去了,后来吃东西摘牙套的时候,牙套都变成变色龙了,然后口水横飞,请自行脑补....其实这只是一个小插曲,牙套摘戴分分钟的事情,而且戴牙套还有助于好的口腔环境,吃完漱口,刷牙别提多勤快了,还经常带牙线,牙缝的东西都清理的超级干净,不会用的自行百度一下、、现在一半的牙套被我戴完啦,真的考验耐力,看看我现在的牙齿吧,love u,休息啦~


2017/05/19 矫牙不能光看价格,一定要看性价比和效果
很多粉丝私信我说,矫正是不是收了两万多块钱之后就好了,中间会不会有隐形收费问题!这么说吧,从矫牙到现在复诊,都没有收过我其他费用,而且每次复诊也不用挂号,用填的手机号报一下就行,像医生检查口腔用的小镜子啊,像镊子一样的东西啊,都是当我的面打开一次性的,医生戴的白手套,卫生质量也是要求很严的,另外提醒一下想矫牙的宝宝们,两万多隐形矫正在深圳不算便宜的但是也不是最贵的,但是不能光看价格!要看性价比,效果都很重要,我也是看到大家评论不错,案例评价也很好,而且自己亲身实践,才敢这么推荐给喜欢我的粉丝~
2017/04/01 佩戴时间一定要戴够,在矫牙的宝宝可不要学我
戴牙套半年过去了,时间好快啊!换牙套复诊,最近觉得牙齿不太舒服,医生说是不是最近没有戴够时间,细想就是最近开party有点多,吃的时间大部分都摘了,这就导致了我新戴的牙套太紧,摘下来的时候不小心把我的牙龈都整破了,宝宝不开心了嘟嘟嘴卖萌,老阿姨的少女心啊啊啊啊啊~~在这里给宝宝们做了错误的示范,千万不要像我一样哈~~~不过医生检查说我牙齿健康问题这些都没有问题,夸我倒是真的呢


2017/03/10 带着小小牙盒可以来一场说走就走的旅行
脱去网红的标签,我们日常生活和普通人没有什么区别。身边一群爱吃爱玩的朋友,经常去各个旅游景点打卡,一个小小的牙套盒方便的很,而且坐飞机安检什么的放心好啦,加上如今的牙齿越来越好了,拍个照都不避讳啦!但是要错过复诊的时间啊,复诊的时候说的好听点也就是换一副牙套,定期去医生那里报道看看牙齿有没有跟着步骤走,但其实感觉自己是个大宝宝定期去医生那里点名报道,看看戴牙套的时候有没有偷懒,是不是戴够了20多个小时,不过医生说我一直在跟着步骤走,不错哦~~

2017/02/04 直播没掉链子,摘戴牙套我给自己满分
爱笑的女生运气一定不会差,越来越觉得生活越来越好!网红琼琼又来写日记啦!直播的时候,粉丝说最近怎么这么开心,当然为了满足他们的好奇心,我亲身示范摘的时候5秒钟,戴的时候还不到5秒,还张口给粉丝看,也是因为很信赖隐形牙套、信赖我选择的麦芽口腔,所以才敢正大光明的把自己的缺点暴露出去,当然我也是为了矫牙完全后不一样的对比。上次去麦芽复诊,跟朋友一起参加麦芽的活动,被漂亮的小姐姐点名上去演示了摘戴牙套,还好我没有掉链子,摘戴牙套我给自己满分!哈哈哈

2016/12/07 开启矫牙之路
OMG!怎么可以这么隐形!希望宝宝们别嫌弃我的牙齿丑,牙齿上贴的各种小东西仔细看才能看见,都是为了矫正考虑,人家医生的技术你以为只是整个牙套就行吗,看看这些细致的活儿,好羡慕学牙医的朋友,生活中一定是个细致的暖男吧~~ 还有一个值得炫耀的事情,身边的朋友都跟我一样,成了牙套族,美其名曰:矫正后可以让前男友后悔的“前男友牙套”!主要是姐妹们都被那些矫正后的朋友改变辣么大惊呆了,如今隐形牙套在我们圈子里成了爆款,很多人直播的时候还推荐给粉丝,牙套可要戴一两年呢,全程有医生陪伴,花两万多块钱真的超值的,而且看邻家小姐姐的改变远不止矫牙,脸都变美了,简直跟整容了一样,但是人家真的纯天然,不信的小姐姐自己试一下,听说对有些戴上后改变人尤其明显呢!!
2016/10/10 矫正方案确定
拿到牙套了,其实还有点怀疑,就这两个塑料的东西,真的可以让我的牙齿矫正吗,何况我还有个缺牙的间隙,看了墙上很多顾客和医生的合影还一墙的牙套盒,20多副的有,3、4十副的也有,很多人选择应该没错的!医生说根据个人情况有不一样的方案,我的是42副,隔断时间换一副,牙齿变齐了牙套也要跟着变化的!医生还给我演示了3D的动画,居然这么的高科技!另外医生提醒我注意刷牙卫生,还有一些注意事项,原来牙套戴在牙上是有感觉的,还真的看不出来,隐形的贵也有道理的哈O(∩_∩)O

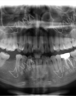
2016/09/01 第一次初诊
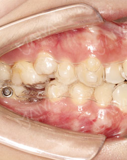
经朋友介绍来矫正,医生说了一堆安慰我年龄不是问题,服务态度好好哦~另外说牙齿非常不整齐,右下有个磨牙缺失不能种,为了我的工作考虑,采取了隐形正畸技术,拔了智齿,然后排齐牙齿,上图,这就是露牙后的效果,总感觉哪里怪怪的~~


*提交信息后,工作人员将致电回访,与您确定到院时间,小麦为您自动排号,为您节省看牙的时间。












转载
咨询














































