职业白领:矫牙变美能让我更具竞争力
麦芽智能AI在线 · 点击咨询 来源:麦芽糖编辑社 更新:2020-01-11 16:20
*说明:文章信息仅供参考,不作为临床口腔医学诊断依据。
过去的困扰
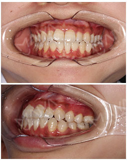
牙齿很重要!十分重要!非常重要!牙齿的整齐与否决定了一个人气质如何。灿烂的笑容是社交生活最得力的助手。“我前牙外突,还有点歪斜的,笑起来特别丑,干脆不笑了。想改变牙齿的念头有很长时间了,之前一直犹豫中,看到朋友带钢牙那么痛苦,想到要戴金属牙箍,我就退缩了。”

改变开始
2017年10月18日 与麦芽的老朋友们谈笑风生
回老地方坐坐,找老朋友聚聚。矫正快一年了,牙齿渐渐开始整齐了,矫正效果不错哦~

2016年10月16日 回麦芽复查
今天回医院复查,主任太nice了,很专业很热心~主任还给我讲解了怎么戴怎么取以及注意事项。

2016年8月8日 到麦芽进行口腔检查
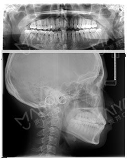
2016年8月8日,经过朋友的劝说,我加入了正畸的行列,我的牙齿上下颌前牙前突咬合不是很好,导致脸型也不是很好看。我对舒适感要求很高,带隐形的完全看不出来。所以选择透明隐形的隐适美。还是私人定制款,嘻嘻。今天来记录我的矫正经历,跟大家一起分享一下,同时给自己留个回忆。我之前就和这边的医生预约好,我很准时的来医院。先是给我拍牙齿的片子,牙齿牙列不齐,幻想着矫牙后的模样~ 相信麦芽的技术!

*提交信息后,工作人员将致电回访,与您确定到院时间,小麦为您自动排号,为您节省看牙的时间。












转载
咨询














































