医护:矫牙美脸,趁早改变为自己加分!
麦芽智能AI在线 · 点击咨询 来源:麦芽糖编辑社 更新:2020-01-12 14:54
*说明:文章信息仅供参考,不作为临床口腔医学诊断依据。
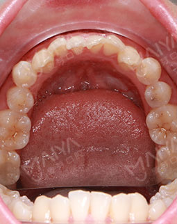
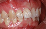
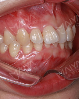
过去的困扰
相信很多仙女宝宝们都有一样的困扰,牙丑不自信,还选择了天天需要露牙齿的工作,又刚好是20多岁,正是美丽的年纪,因为牙齿很丑的关系,我很不爱笑,但常常被患者误解为高冷。作为白衣天使的我非常难过,梦想中的工作不仅没让我感到快乐,反而让我感觉特别迷茫、不开心。

改变开始
2019年10月 日常矫牙打卡
矫牙半年多咯!现在拍照不太特别想露牙,偶尔还是露一下的!!其实拍照也看不出来有牙套,只是我那个歪牙还没有完全矫正过来呢,对比有改善,期待我牙齿整齐的那一天,来个360度的大转变吧~现在越来越享受当下的生活,每个女孩都是精致的猪猪女孩,尤其在这个时间段,深圳还是一如既然的暖和(re),到处游玩不负好时光,本宝宝要励志成为这条街上最靓的妹,不为啥,就为了这两三万的牙套,也要自信起来啊~~矫牙第232天,打卡留念~~

2019年5月矫牙也不能阻挡吃货
吃货的世界你们还真不懂,我身边的朋友,甚至加我朋友圈的人都知道,她们都说我爱在深夜放毒,还好吧,深圳的美食差不多被我撩了个遍...就连矫正也不能阻挡吃货的行动,隐形牙套无需全天佩戴但是要佩戴至少20小时以上,我真的是用尽了那多余的最后一分钟来各种享受美食,然后捏,还长不胖,个人体质问题,不过懒癌晚期的美少女们想减肥,不想频繁摘戴牙套,绝对减肥没毛病,不过吃货们想变美,选择隐形的没毛病,吃喝完全不影响!!

2019年4月 矫正过程中
大部分人其实纠结就在于戴了牙套牙根会不会松,吃饭及其一些其他的引发症状,本宝宝用亲身实践体验的隐形牙套,当然不存在啦~~~ 第一点,隐形牙套美观度不容置疑,这就是矫牙仙女们经常喊的口号来着:看不见我的牙套但是我却矫正了、、、、 第二点:吃饭不影响、刚开始有点不舒服吧,习惯就好了,但是肯定比钢丝的好呀!! 第3点:有的仙女说有的牙医牙齿不好也不矫正,是不是有副作用?本宝宝可是护士呀,有副作用我会不晓得吗,这真的看个人,有的人牙齿不需要矫正,有的不在乎外在形象,但矫牙不会亏的~~

2018年2月7日 矫牙后更自信
盼星星盼月亮,盼来弯弯的小套套,本仙女呢对这种摘戴牙套的事情,真的是有天赋呢,主任亲自教佩戴了一次,我就立马学会了~~感觉很透明,比我想象的还好看,而且牙套不像金属的牙套那样,没有托槽,只是卡住牙齿的牙套,我的牙套总共35副,每隔一段时间就要换一副,什么时候换完我就矫正好了,有的人50多副的也有,都在医生的诊室放着,不过都是根据个人情况而定的了,话不多说,赶紧戴起来,哈哈哈哈欧耶!比心!第一幅牙套很舒服!~~(@^_^@)~It is show time!

2018年1月 检查定方案
因为是个护士,对这些矫牙的事情刚好略知一丢丢,爱美的心促使我选择了麦芽口腔的隐形矫正! 比想象的流程简单的多,基本在前台填写一个单子,然后客服领着去楼上正畸科找医生看诊,拍片,给我讲方案的是麦芽正畸中心张超主任,张主任说矫牙并不影响工作和生活,成年人通过科学的矫正依然可以达到很好的效果的,还解答了我心中很多疑惑。不用说宝宝选择的自然是隐形牙套吼、另外有一点必须值得点赞的是,有3D 口扫,印象中取模的话要咬个印模,然后基本就是copy牙齿的形状啦,但是没想到矫牙现在都这么先进了,在口内扫了1分钟左右的样子,牙齿的形状就到屏幕上了,而且非常清晰,用专业的话说,数字化的东西比传统的东西精确度高的不止一点半点~~~


*提交信息后,工作人员将致电回访,与您确定到院时间,小麦为您自动排号,为您节省看牙的时间。












转载
咨询














































