90后萌妹子:“为了变美,好吃喝,我拼了”
麦芽智能AI在线 · 点击咨询 来源:麦芽糖编辑社 更新:2020-01-10 16:17
*说明:文章信息仅供参考,不作为临床口腔医学诊断依据。
过去的困扰
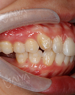
变好看、减肥,重要的就是咬合问题,作为资深的吃货,肯定要有一口好的牙齿,咬合问题,让我的左右大小脸不一样,吃东西的时候我的右边是吃不到食物的,我左侧虫牙,一直用右侧咀嚼食物,时间久了就成了大小脸,咬合不良。龋齿也需要拔除进行种植,但是没有空间,只能正畸后才能种牙。不能咬到,需要矫正让脸型对称变得更好看,更好吃东西~~
改变开始
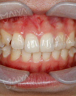
2018年3月15日 矫牙塑脸型说的就是我
好久不见的我出现了,这可能就是所谓的看不见的牙套,看的见的矫正吧~很多朋友好久没有见到我,第一句就是:咦?不会整容了吧?....我真的只是矫牙了,不得不说小牙套的大魔力呀~ 矫正期间复诊次数掰着手指头都可以数过来吧,都是提前跟客服约好时间,重要的是再约上闺蜜,一起逛街,还有就是每次更换牙套的时候有点小紧,能感受到牙套的力量。一年多的时间换了几十副牙套,牙齿齐了,我的大小脸状况也在改变...减肥可能减了吧,对于我这种资深吃货来说,隐形牙套的随时摘戴,终究没能阻挡我在吃货路上越走越远....现在拍照看着脸型也更自然了,而且习惯性露出我整齐的美牙~~

2018年3月4日 开始佩戴牙套了
由于我的牙齿比较特殊,主任详细给我讲了矫正的注意事项,还给我看了最终的矫牙效果,好期待~牙套上牙70+ 下牙40+,貌似有点多,但每一副牙套都有独立的包装,还有非常好看的精致的小盒子,可以随身摘戴的时候放起来~~ 主任亲自教学戴牙套,不到10秒钟两个牙套就戴好了。刚开始带上牙套,会稍微影响一点发音,但是不影响正常的交流,给主任点个赞~~ 后期再更新佩戴效果。
2018年1月3日 初诊检查
朋友介绍下,我来到麦芽,好巧不巧的是刚好麦芽有活动,一进门我就受到了客服小姐姐的热情接待,又是端茶送水的,当天人还挺多的,还好是我提前约了! 接下来就是看诊的时间了,去了拍片室,还有专门的人为我穿防射服,这服务简直不要太好,就在我以为要拿片子的时候,助理直接让我找医生,说了名字,在电脑上就是我的牙片,很方便,高科技的感觉~~ 取模的时候更加方便了,牙刷一样的东西放到口内一扫,在我面前的屏幕上牙齿的模型就出来啦,旁边的护士小姐姐说这个叫3D口扫,更加精确哦!当天定了方案,选择隐形矫牙,相信这么高科技的东西加上医生的技术准没错的!

*提交信息后,工作人员将致电回访,与您确定到院时间,小麦为您自动排号,为您节省看牙的时间。












转载
咨询














































