25岁宝妈:把牙齿矫正了给孩子做个榜样!
麦芽智能AI在线 · 点击咨询 来源:麦芽糖编辑社 更新:2020-01-09 17:35
*说明:文章信息仅供参考,不作为临床口腔医学诊断依据。
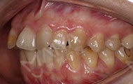
过去的困扰
11年工作的时候就犹豫要不要做矫牙,我的牙齿有点牙列不齐和牙齿拥挤,笑得时候露齿牙齿真的很丑,以致于平时拍照从来不敢笑。现在孩子一天天长大,最担心孩子因为我不爱笑而感受到不快乐,但考虑到矫牙周期过长,可能不会长期在一个城市,矫牙问题也就一直搁置了。

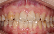
改变开始
2018-03-01戴牙套只需10秒钟,好方便
过完年我才来戴牙套,主任展示的3D模拟图看到了矫正后牙齿情况。隐形牙套真的好方便,自己能摘除,一点都影响吃美食和生活。医生教我试戴,不到10秒就戴上了,主任问我感觉怎么样,我说有些发紧,但是还能适应。走之前留了联系,说是有问题可以随时问他,他也会提醒我注意事项,还有复诊时间,这样的服务真的让我特别周到点赞点赞。戴上牙套后心情感觉特别好,比我想象中的简单方便太多了~希望矫正之后给女儿做个好榜样~

2017-12-1隐形矫正,宝妈当然适用
已经决定留在深圳长期发展,就想把矫牙这事早点解决。来到麦芽后发现服务态度真的很好,全程导医陪同,检查完牙齿之后张主任给我拍了正面、45度、侧面的面部照,等矫正结束的时候再进行对比,很期待。虽然我已经是宝妈,但也不影响我爱美~


*提交信息后,工作人员将致电回访,与您确定到院时间,小麦为您自动排号,为您节省看牙的时间。












转载
咨询














































