美女化妆师:矫正要坚持,我绝不半途而废
麦芽智能AI在线 · 点击咨询 来源:麦芽糖编辑社 更新:2019-11-27 16:47
*说明:文章信息仅供参考,不作为临床口腔医学诊断依据。
过去的困扰
我做过空姐还做过化妆师,曾为《巴啦啦小魔仙》剧组化妆。因为工作做了矫正,但是之后没有佩戴保持器,导致牙齿更不齐了,导致嘴突脸型奇怪,平时都不敢大笑。太丑了,自己都嫌弃自己!!!

改变开始
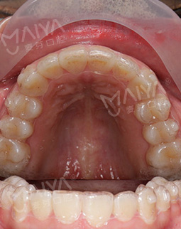
2018-8-17矫牙让我变更好
对外来说,牙齿矫正最大的价值,就是遇见更好的自己,开始佩戴隐形矫正器到现在,已经能很明显的看见歪牙在慢慢排齐啦!!!果然牙齿矫正这件事,选对医生,坚持下去就有效果。
在开始矫牙之前,我也和很多小伙伴一样,非常纠结牙齿矫正的费用,也曾四处比价,真正开始矫牙之后才发现,牙齿矫正的门道有很多。以前总以为牙齿矫正的方案设计就是矫正器厂商出动画,矫牙后我才知道,矫牙方案上每个牙齿究竟要怎么动,都是医生在手动调整的,医生在收到3D动画方案后,还会不厌其烦的一次次调整,所以,矫正牙齿选位好的医生实在很重要。
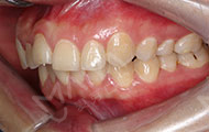
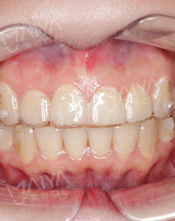
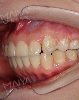
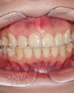
对了,我的隐形矫正器是3D打印定制的,虽说价格别其他家高一点,但我觉得很值,因为医生方案太仔细了,所以牙套和我的牙弓、牙齿形态匹配度很高,戴上后很舒服,其实不仔细看的话,戴上隐形牙套后真的看的不大出来,反而还有点显牙白hhhh 医生说现在牙齿还没完全矫正好,上面牙齿和下面牙齿没有完全“对上”,看得出还有挺大的空隙,不过现在这个效果我已经很满意了,说话也不会怕牙丑老是捂嘴了,整个人都自信了起来,希望那些想矫牙的小姐姐也都能勇敢一点行动起来,矫完牙真的收获不少~~


2018-4-28这一次我要坚持到底!
因为工作的关系,觉得带钢丝牙套非常不好看。影响自己的生活和社交,主任给定制的双膜隐形矫正,矫正时间还能缩短1/3,主任当天就教我佩戴牙套了,试戴过程中主任问我的感受,整个过程很轻松,也没有明显不适感,只是有轻微的异物感,不过过一段时间就习惯啦,这次我会坚持下去! 隐形矫正确实很隐形,拍照完全看不出来!还是可以美美的。
其实选择隐形矫正除了是为了美,更是因为其他钢丝矫正朋友的建议,因为钢丝矫正结构复杂吃饭是一个非常痛苦的事,大家都有给我说到不仅吃饭困难,饭后清洁牙齿也很麻烦。隐形确实很方便,吃饭时取下,饭后漱口后带上,只需要正常的刷牙就好了。真的不要太方便,不需要医生佩戴,自己就可以搞定。期待矫牙后牙齿整齐的自己....

2018-2-1选择隐形矫牙,让家人看到我的笑!
镜头下露出自己的牙齿简直不敢直视,颜值都降低了,对我的工作带来了很大的影响。朋友之前也是做过牙齿矫正,现在牙齿已经全部排齐了,极力推荐我来麦芽,说不管是服务还是,口碑,在深圳来说,都是非常不错的。今天是第一次来麦芽口腔,一进门就有客服小姐姐全程陪同,真的是贴心。先是给拍了口腔照片。然后张主任认真的给我做了分析,说了下我的牙齿情况。当天就定好了设计方案。 还特别好的是,我对口腔医生都特别怕,一躺在那个椅子上就紧张,主任和护士一直特别温柔的安慰我,手部动作也特别轻,让我没那么害怕了。朋友介绍的还是挺靠谱的,自己去医院感受了,才觉得他们的服务、技术都不错,实力点赞!!!


*提交信息后,工作人员将致电回访,与您确定到院时间,小麦为您自动排号,为您节省看牙的时间。












转载
咨询














































