从粤西湛江到深圳麦芽 73岁老人种牙记
麦芽智能AI在线 · 点击咨询 来源:麦芽糖编辑社 更新:2020-04-10 11:46
*说明:文章信息仅供参考,不作为临床口腔医学诊断依据。
过去的困扰
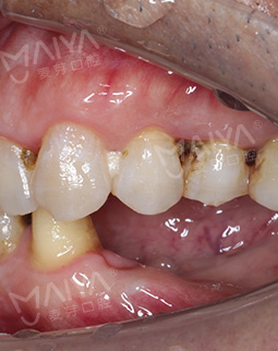
我叫陈志斌,今年73岁,早年口腔保健意识薄弱,因为蛀牙,一直没去看,最后导致牙齿缺失,一缺就是10多年,现在大牙已经掉了6颗。说起晚年生活,莫过于有一口好牙,让我重拾口福。“儿子把我从湛江接过来深圳一起生活,我本来想着能给儿子带小孩,但没想到由于自己牙齿不好,这也吃不下,那也吃不了,反而成了儿子的负担。

改变开始
2017年10月3日 牙好胃口好 乐享美味新生活
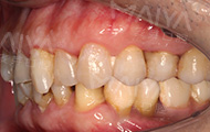
转眼半年多了,种牙之后,生活也在悄悄发生变化,不仅恢复了半口咀嚼功能,肉类、海鲜也可以吃一些了,不再像从前那样,这也不能吃,那也不能吃。面部不在塌陷,好多朋友都说我看起来又年轻了好多,最近又开始出去会亲访友了。可以不夸张的说种植牙,让我重获新生,点燃了对生活的向往!今天来院复诊,硕博医生看完我的下颌牙齿说维护的很好,需要继续坚持下去,不能因为种完牙就对它不管不顾,按时刷牙和用牙线清洁。

2017年4月25 数字化3D精确导板种,1小时新牙长出来
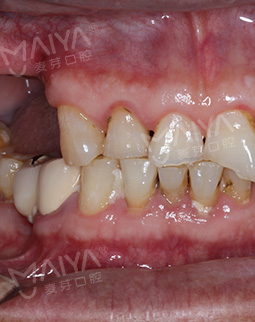
收到了麦芽口腔客服来电通知,让我今天来院做上颌骨手术。这不,在儿子的陪同下,今天早早就来到了麦芽口腔,由于植骨后需要等待骨头长出才能种牙,因此硕博专家团先为其用数字化3D精确导板种了下颌的牙齿,整个种牙过程1个小时就结束了。看着自己的新牙,向医生竖起了大拇指:“医生的医术很好,整个手术过程很舒服,也不觉得累,打了麻药后一点也不痛,虽然现在只种了下颌的牙齿,但我相信麦芽口腔,相信博硕专家,真希望上颌的骨头能早点长出来,让我能早点把上颌的牙齿种上,重拾一口好牙。”

2017年4月7日 定制MAC数字化精确种植方案,牙骨重新长出来
由于缺牙时间过长,我的上颌骨量严重不足,种植牙条件也是非常艰巨,必须通过植骨手术来解决这一问题,并且上颌有动脉血管,手术时上颌开口误差要确保在3mm之内,如果手术过程中不小心割破血管,后果将不堪设想。考虑到这个情况,麦芽硕博智库团给我定制了MAC数字化精确种植方案。通过GBR骨引导再生使骨量重新长出来,提高植体稳定性。上颌窦的底壁提升到原先位置从而获得足够的种植空间,避免植体周围炎,半年之后进行种植手术。
2017年4月5日 多方咨询被拒 在麦芽重燃种牙希望
在儿子的陪同下,经过多家医院多方咨询,由于我缺牙时间太长,年龄也已经很大,做种牙手术的需求被很多家医院拒绝。本来已经不抱希望的我偶然在社区里看到麦芽口腔的广告后,决定最后还是来麦芽口腔了解一下,说不定有希望能种上牙齿。
来到麦芽口腔后有专门的种植团队接待了我,经过拍片检查,再到医生给我看牙。了解了我的牙齿情况后,医生告诉我,符合做种植牙的条件。听到这个消息,真的十分高兴,“奔波了一个多月,本来没有指望能种上牙了,没想到最后在麦芽口腔看到了希望,别提有多高兴了!”

2017年3月20日 生活看似悠然自得,牙齿缺失却是我的一块心病
随着年龄的增大,才意识到口腔健康也关乎到身体健康,现在我每天早晚都要去附近公园散步,没事的时候就和邻居老人一起下象棋,生活看似悠然自得,牙齿缺失却是我的一块心病,对我的身体健康也有不小的影响。“牙齿缺失导致我不能享受口福,营养自然也跟不上,最近觉得身体已经越来越虚弱。”由于早年镶牙引起的牙齿发炎,现在已经不敢再去镶牙,正在不知如何修复自己的牙齿时,在一次闲聊时听社区的其他老人说起种植牙和真牙一样,也动了想做种植牙的念头。

2017年3月15日 晚年生活,莫过于有一口好牙,让我重拾口福
我叫陈志斌,今年73岁,早年口腔保健意识薄弱,因为蛀牙,一直没去看,最后导致牙齿缺失,一缺就是10多年,现在大牙已经掉了6颗。说起晚年生活,莫过于有一口好牙,让我重拾口福。“儿子把我从湛江接过来深圳一起生活,我本来想着能给儿子带小孩,但没想到由于自己牙齿不好,这也吃不下,那也吃不了,反而成了儿子的负担。”说起自己来深的感受,真的是一脸的无奈。因为缺牙后吃不了肉,平时吃得最多的就是鸡蛋,缺牙后我就去镶了假牙,后来牙齿经常发炎,一疼一两个小时,一两天才可以吃一点东西,生活真的很不方便。
*提交信息后,工作人员将致电回访,与您确定到院时间,小麦为您自动排号,为您节省看牙的时间。












转载
咨询














































