晚年最奢侈愿望 莫过于好好吃饭
麦芽智能AI在线 · 点击咨询 来源:麦芽糖编辑社 更新:2019-11-05 09:37
*说明:文章信息仅供参考,不作为临床口腔医学诊断依据。
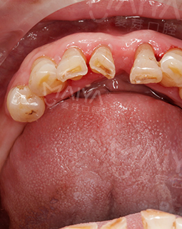
过去的困扰
以前的口腔保护意识差,牙齿逐渐下岗。做了活动假牙,异物感非常重,也给我的生活带来很多烦恼。为了重新拥有好牙口,了解了很多补牙的知识,自己都快成口腔专家了,要种牙就要找到能给我满意的修复意见的医生!

改变开始
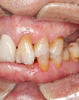
2018年5月28日 麦芽特聘专家孙海鹏博士亲诊设计种植方案
找到麦芽特聘专家孙海鹏博士,我觉得我的牙齿迎来了"柳暗花明"。孙海鹏博士根据我的牙齿情况为我定制了微创无痛种植的方案,我很满意,当天就进行了手术。

2018年5月28日 麦芽微创无痛种植牙 种牙全程无痛感
孙博人很亲切,一直在和我沟通,让我知道进行到哪一步了,也就1小时左右吧,医护人员就扶我坐起来,说手术做完了,确实没什么疼痛感。我要提醒缺牙的朋友,及早修补,避免剩余好牙脱落,影响健康!

*提交信息后,工作人员将致电回访,与您确定到院时间,小麦为您自动排号,为您节省看牙的时间。












转载
咨询














































