加工厂工人:爱美少女拔虎牙 缺牙空隙引后患
麦芽智能AI在线 · 点击咨询 来源:麦芽糖编辑社 更新:2020-01-12 15:00
*说明:文章信息仅供参考,不作为临床口腔医学诊断依据。
过去的困扰
说起我的牙齿,与它纠缠了得有10余年。青春期的时候非常爱美,那时候长了虎牙,但是虎牙的位置显得并不可爱和俏皮,反而感觉有点“獠牙”,索性直接让医生给拔了...这一拔不要紧,虎牙原来的位置有点空隙,医生却没有给出任何处理方式和建议,就这样一直搁置不管.....

从此,不太美观的牙齿直接影响了我的的生活与社交!尤其在青春期那个时候,别人突然看我的牙齿空隙,我就有点尴尬甚至有点自卑,所以我尽量不露牙齿笑,这一点还是很影响交友的....然而一味的放任不管,牙齿终究还是出了问题,邻牙失去支撑,在日常饮食和咀嚼中受到了影响,如今只剩下残根,不仅影响美观还影响了咀嚼,刚刚30岁的年纪,如果我继续佛系的态度,可能全口牙齿都要遭殃了...

改变开始
2019年3月18日 全家的牙齿交给麦芽很放心
麦芽公益小分队来我们小区义诊,感觉到格外亲切,带着熊孩子去检查了牙齿。平时工作忙,家里的两个熊孩子刷牙什么不到位,一不小心牙齿蛀了也不知道,鉴于我小时候的事情,恒牙是不能再生的,一定不能让小孩子因为牙齿问题影响孩子健康和以后的社交等。我立马带小孩子去麦芽处理了,还有专门的儿童专门的诊室,小朋友一点都不抗拒,医生都好温柔,以后全家的牙齿交给麦芽,我很放心!

同时也提醒有牙齿问题的朋友,有问题及早解决,另外呢,不要在乎看牙贵不贵、种植牙多少钱的问题,适合自己的就是好的,总之及早治疗不会亏的!
2018年4月18日 当天敲定种植方案,当天完成种牙
很多人问我,在麦芽种植牙到底多少钱?答案是:品牌植体+基台+牙冠我就花了不到1万块,当然有更便宜的,还有瑞典的贵的,医生真的分析了利弊而且很尊重我的意见~只是后悔,当时花了20块钱去拔一颗牙,现在却要花十倍、百倍的时间和精力去弥补当时的问题,实在有点得不偿失。

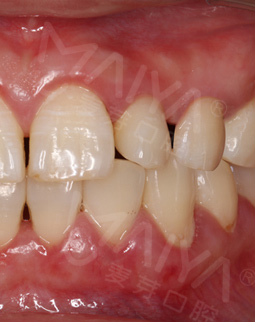
其实我更看重附加的价值,复诊了两次,没有额外收费,而且有专门人员提醒,医生态度一如既往的好,在麦芽种牙这个价格真的性价比很高了,毕竟材料、医生、种牙流程等等,我坚信种植牙是可以在我口内待一辈子的!而且就是第一次来的时候填个单子建个档案,后面我自己轻车熟路,直接去诊室,流程还是挺方便的,又节省时间。牙冠安装好了,很真牙没有什么两样,苦恼我多少年的问题终于在麦芽解决了!

2018年4月18日 当天敲定种植方案,当天完成种牙
兜兜转转,最终还是选择了这里种牙!是的,我去了其他家机构,多方对比,对比种植牙多少钱,对比医院资质、各种设备等等,我还是觉得这里是我的不二之选!上次过来时候医生定制了微创即刻种植的修复方案,即是即拔即种,能快速恢复牙齿的咀嚼功能,极大节省治疗时间。这次在身体条件完全符合种牙的情况下,和医生护士一起走入手术室,手术室是三通道的,很干净~另外必须说一下真的是硕博专家种牙的,为我种牙的是西安交大双博士专家,当然其他的种牙医生肯定也很厉害!

拔牙种牙,就打麻药的时候有点感觉,其他的就是在牙椅上躺了一会就好了,手术时间很短,不到十分钟,种牙就结束了,真的种牙一点都不痛,种牙后的疼痛感也几乎为零,另外牙冠是定制的,需要等一段时间,用牙刷大小的东西扫了一下,就出现了模型,科技感很强!

2018年4月18日 种牙找麦芽,今天来麦芽修复牙齿
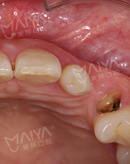
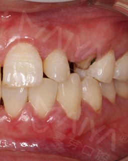
关于我牙齿的问题,多多少少我也了解,缺牙后有烤瓷牙、活动假牙和种植牙怎么选?来到这里,医生用专业的CT给我检查牙齿后,指出我的牙齿情况时为残根,邻侧间隙较大,牙龈正常,咬合空间尚可,可用骨高度尚可,医生综合给我分析了烤瓷牙、活动假牙、种植牙的优缺点,立马决定在麦芽种植牙!

不过我和很多人一样,关心种植牙多少钱,哪种种植牙是好的,用的材料怎么样等等都是我考虑的问题...不过医生都一一为我做了解答,适合自己的才是最好的,当然也给我分析了韩国的、瑞典的、德国的材料,而且他们都和厂家有合作的,品质这方面是有保障的,而且也得到了6大品牌种植示范基地的荣誉,这是我走的时候从荣誉墙上拍下的资质图片,真的没有虚假,也让我更加认可麦芽这个品牌!

*提交信息后,工作人员将致电回访,与您确定到院时间,小麦为您自动排号,为您节省看牙的时间。












转载
咨询














































