香港面包师:从香港到深圳只为种一口好牙!
麦芽智能AI在线 · 点击咨询 来源:麦芽糖编辑社 更新:2019-11-05 10:08
*说明:文章信息仅供参考,不作为临床口腔医学诊断依据。
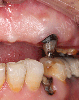
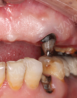
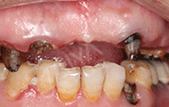
过去的困扰
作为一个过来人,我要呼吁理性美牙!我这半口的残根烂冠,是因为十来年前的烤瓷牙冠造成的,以前的审美流行烤瓷牙,用来美白牙齿,让牙齿好看,年轻人都爱美,我就做了这半口的烤瓷牙冠,问题在于这烤瓷牙和真牙的密合度有限,而且打磨了我很多真牙,现在自己的真牙也坏了,要拆掉牙冠,发现自己的牙齿都不能用了。现在种牙,就为了自己后半生的口福。

改变开始
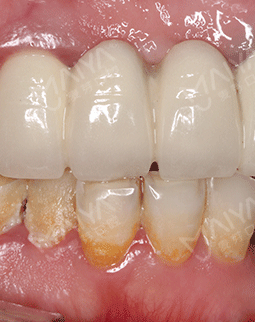
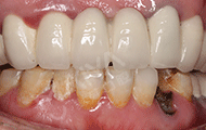
2016/01/20种牙成功,当天种牙当天享美食
“在做种植牙之前,我非常害怕,因为我一直以为,种植牙就是要开刀种牙,我很怕痛。在亲身经历过之后,我发现我把问题复杂化了,幸运的是,我选择了好的医生,种牙的痛感明显也就是注射麻药的环节,你们相信吗?一开始我很紧张,在手术室一直有护士安慰我,其实全程真的很顺利。”。

2016/01/20 方案的制定
“我非常高兴的是,医生不会因为我不懂种植牙的专业东西,就拒绝和我沟通。麦芽的医生很有耐心,会跟我讲解种植牙的每一种方案,告诉我优点和潜在的问题,我感觉他们对我很上心,就种牙的方案都帮我想了很多种,也很尊重我的意见,会倾听我的想法去调整方案,这个种牙的方式是我和医生一起沟通定下来的,我想要半口好牙,所以我选择了以少种多的方式,一来节省了费用,二来咀嚼的功能重建了,我可以正常吃喝。”

2016/01/20 初诊来院
“我是香港人,到深圳来种牙,很多人觉得匪夷所思。深圳种牙会比香港便宜,哈哈哈,更重要的是,深圳的种牙技术和香港比也差不了多少,来深圳我也考察过很多的医院,下决心种这半口牙,更多还是因为医生的技术,毕竟种植牙花多少钱不是最重要的,主要是这钱花了,我要牙齿能吃能咬,真正能发挥功能。”

*提交信息后,工作人员将致电回访,与您确定到院时间,小麦为您自动排号,为您节省看牙的时间。












转载
咨询














































