私企老板:“当天就能种牙,麦芽太厉害!”
麦芽智能AI在线 · 点击咨询 来源:麦芽糖编辑社 更新:2020-01-12 17:26
*说明:文章信息仅供参考,不作为临床口腔医学诊断依据。
过去的困扰
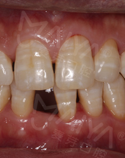
我是个私企老板,今年39岁。前几年由于一些意外,使我的前牙掉了,特别影响形象,很多都问我这年纪轻轻牙咋就掉了......后来做了活动假牙,但是清洁特别不方便,还感觉挺难受的。

今年回老家,假牙坏了,咨询了本地医院,他们说做不了,后来听说这家机构技术不错,了解到这里硕博专家不仅种植经验丰富,还经常到世界各地交流种牙技术,经过几家机构的对比,最终选择了这里。据工作人员说,他们即将举办种牙手术直播活动,报名之后还有种牙优惠,我决定尝试一下。

改变开始
2018年5月12日 带朋友来麦芽看诊
今天复诊是带着我朋友一起去的,他跟我一样是前牙缺失,正巧碰上麦芽的讲座活动,可以更深层次了解种牙知识,同时让麦芽的专家制定适合自己的种牙方案。

这次复诊医生给我做了全方位的口腔检查,并且嘱咐我要按期来这边进行种植体周围洁治,及时清除常规刷牙不能去除的牙结石,发现潜在问题也可以及时进行治疗,据说如果种植牙维护的好,用一辈子都不是问题。再次感谢麦芽的医生让我拥有了好牙,重享美食,以后我的牙齿都会交给麦芽。

2017年12月24日 生活又开始多姿多彩
今天来医院进行复诊,医生说我恢复的特别好。不得不感慨一下,虽然烤瓷牙、活动假牙比种植牙便宜,但是咀嚼力和使用性都比不上种植牙,不愧是“人类的第三副牙齿”。

现在我出门应酬,他们都不相信我的前牙曾经掉过,还以为是真牙,我身边也有缺牙的朋友,自从说完我的种牙经历,他们说不能拖了,早种牙早受益。现在我可以正常的进行饮食了,像排骨、大闸蟹、小龙虾这类的美食,随时品尝,而且苹果、梨这些的“硬”水果也是想吃就吃,生活又开始多姿多彩了。

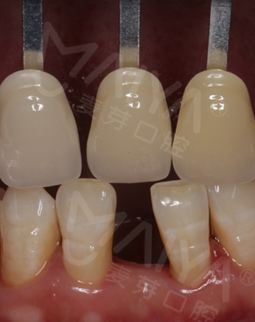
2017年10月28日 当天完成种植手术,非常顺利!
手术当天,我先和在场的朋友们分享了我的缺牙感受,然后进了手术室,除了麻醉的时候有点感觉外,种牙没有一点痛感,自己小咪了几分钟牙就种好了,而且出血量微乎其微,专家们技术真的非常高超。看着镜子里面的牙齿,发现跟周围的真牙完美的融合了,一点也看不出假牙的样子,特别美观舒服。回到现场,大家问我种牙什么感觉,我最想说的就是:种牙真的不疼,而且整个手术时间很快,要相信我们的医生和技术。

随后硕博专家跟我说了一下种牙后需要注意的地方,要按时复诊,同时防止外力撞击,种完牙后也应该细心照顾,不能放任不管。

2017年10月28日 多方比对,来麦芽种牙!
经过数字化的拍片检查后发现,我的牙周情况还是蛮不错的,可以用MAC数字化精确种植牙实现8分钟种稳一颗牙,而且工作人员说我可以作为直播案例主角分享自己的故事,感到非常荣幸。

在种牙之前,这里的硕博专家给我讲解了种植牙的相关知识,而且通过数字化的设备模拟出种牙的全过程,打消了我的种种疑虑。专家说,随着数字化在口腔领域的应有,种牙已经不像之前那样等待时间长、创口大、步骤多,而是实现即种即用,并且利用数字化导航设备种牙更精确,不用仅仅依靠医生经验去进行种牙,手术前一周我已经做了取模,今天准备种牙!

*提交信息后,工作人员将致电回访,与您确定到院时间,小麦为您自动排号,为您节省看牙的时间。












转载
咨询














































