晚年生活又开始有滋有味
麦芽智能AI在线 · 点击咨询 来源:麦芽糖编辑社 更新:2019-11-12 19:25
接诊范围·专精疑难
MAC博士智库
专注高龄疑难缺牙
进入医生列表甄选系统·国际品质
六大系统认证
数字化种牙示范基地
植体拥有唯一编码数字科技·精确种牙
运用数字科技
让疑难种牙变简单
申请方案设计数字化口腔精确科技倡导者
以修复为导向
一站式种牙与修复
了解更多*说明:文章信息仅供参考,不作为临床口腔医学诊断依据。
从前医疗条件差, 口腔健康意识也差, 我蛀了5颗牙, 疼得在床上打滚却不知道怎么办,后来虽然全部拔了,但一直被牙疼折磨。新千年后,深圳迎来了发展的新高潮,日子一天天好起来,辛苦了大半生,想对自己好一点,于是我慕名找到时任深圳市第二人民医院口腔科主任的郑苍尚教授治疗牙齿。郑主任亲手给我做的牙,用了十多年还很好!给我留下了非常深刻的印象。

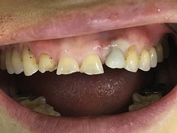
老伴离世后我又不小心把门牙旁边的牙齿咬断了, 连续吃了3个月流食, 人更郁郁寡欢。正在为去哪里找靠谱的种牙专家犯愁时,碰巧在报纸上看到原来二院给我治疗过牙齿的郑苍尚教授正在麦芽口腔品牌连锁任总院长一职。我毅然决然地选择了麦芽,还很幸运地成为了种牙直播的女主角!

种牙手术是在先进的3D种植导板指引下进行的,全程可视化操作,麦芽口腔南山机构邢院长的手法很轻巧,除了打麻药有点不舒服,手术过程一点都不痛,我为麦芽口腔点赞!

*提交信息后,工作人员将致电回访,与您确定到院时间,小麦为您自动排号,为您节省看牙的时间。
















转载
咨询















































