当天种牙当天享美食
麦芽智能AI在线 · 点击咨询 来源:麦芽糖编辑社 更新:2019-11-12 19:37
接诊范围·专精疑难
MAC博士智库
专注高龄疑难缺牙
进入医生列表甄选系统·国际品质
六大系统认证
数字化种牙示范基地
植体拥有唯一编码数字科技·精确种牙
运用数字科技
让疑难种牙变简单
申请方案设计数字化口腔精确科技倡导者
以修复为导向
一站式种牙与修复
了解更多*说明:文章信息仅供参考,不作为临床口腔医学诊断依据。
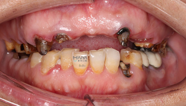
10年前因为无法忍受自己发黄、畸形、排列不齐的牙齿,我把上颌包括门牙在内的牙齿全换成了烤瓷冠。但由于当时选择的材料和医生技术不过关,做的烤瓷冠密闭性不好,导致牙齿里面的牙根慢慢发炎、腐烂、松动。不仅无法尽享美食,而且形象也受影响。

郄女士咨询种植牙

郄女士牙齿情况
深圳离香港近,过来很方便,每次来深圳我都会跑一跑这边的口腔医院,再对比一下香港的。我了解到麦芽口腔是当前深圳高规格的口腔机构之一,拥有德国最先进的齿科设备,还有硕博专家团队领衔的顶级口腔种植医师团队,特别是由郑苍尚教授领衔的种植博士专家团队,这些资质都非常吸引我,毕竟是做全口种植,对医生的要求挺高的。

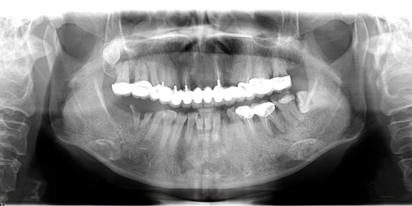
郄女士做口腔ct检查

郄女士口腔ct全景片
我希望修复后的牙齿不仅要美观,还要能好用,麦芽种植专家反复对治疗方案进行设计修改,最终决定采取"麦芽即刻种植即刻修复技术",并对上颌前牙区牙槽骨进行修整术,满足了我对外观和功能的双重需求。

种牙成功后的郄女士

种植成功后的牙齿
手术全程就是在打麻药的时候有点痛,就像蚊子咬一样,而且手术全程工作人员都很贴心,每一步都告诉我接下来要做什么,我觉得把牙齿问题交给麦芽,我很放心!

*提交信息后,工作人员将致电回访,与您确定到院时间,小麦为您自动排号,为您节省看牙的时间。
















转载
咨询















































