种植牙和烤瓷牙哪个好?
麦芽智能AI在线 · 点击咨询 来源:麦芽糖编辑社 更新:2019-11-14 19:20
接诊范围·专精疑难
MAC博士智库
专注高龄疑难缺牙
进入医生列表甄选系统·国际品质
六大系统认证
数字化种牙示范基地
植体拥有唯一编码数字科技·精确种牙
运用数字科技
让疑难种牙变简单
申请方案设计数字化口腔精确科技倡导者
以修复为导向
一站式种牙与修复
了解更多*说明:文章信息仅供参考,不作为临床口腔医学诊断依据。
“我左下六的槽牙根已经没了,医生建议烤瓷牙或者种牙,但是烤瓷牙得需要磨掉旁边两颗好牙做桥,而且便宜。种牙说是比较好,但是贵。
我想种牙,但家里人为了省钱想让我做烤瓷牙。但我怕烤瓷牙会连累旁边两颗牙,而且用的时间不长,后期麻烦。”一位顾客在网络预约中讲到。那么烤瓷牙和种植牙哪个好?
你也在纠结做种植牙还是烤瓷牙?点我
种植牙无需磨临牙,固位好、稳定性高
种植牙依靠独立牙根进行固定,修复后的牙齿不涉及邻牙,对邻牙没有损伤。由于种植体深植于患者的牙槽组织,因此种植牙修复后的牙齿,可以像真牙一样扎根在患者的口腔里,比传统假牙更加稳固牢靠。
而烤瓷牙须先把缺牙区两边的两颗牙磨小,作为稳固牙套的支柱,假牙才会牢固。如果假牙不能用,两侧的邻牙基本报废,也需要再次修复。
咀嚼能力强,终身使用
种植牙和真牙的力学原理相同,修复后的牙齿咀嚼能力酷似真牙,只要平时使用维护得当,一次种植,可终身使用。
烤瓷牙在日常中需要适度用力,否则就会脱落或损坏。一般可以使用5-10年,就需要再次更换。
详情烤瓷牙和种植牙区别
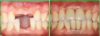
35岁的冯先生,右上两颗牙缺失,经朋友介绍来到麦芽口腔进行治疗。“以前不懂烤瓷牙,以为装了装了烤瓷牙能用一辈子。去到麦芽口腔听院长讲了才知道,烤瓷牙用的时间比较短,而且也不怎么舒服,只有种植牙才能使用一辈子。虽然价格贵一些,但是免去了后期再补牙的困扰,算起来也划算!”
收关,冯先生做了即刻种植牙,手术十几分钟,两颗牙恢复如初,术后两小时就可以正常吃饭。“根本没有想象的害怕,用起来和自己的牙一样”冯先生如是说。
麦芽口腔医疗团队是由多位临床经验丰富的各学科资深专家、齿科博士团等口腔医师组成的医生团队。如2016年获得深圳市科技进步一等奖的郑苍尚教授、具有近万颗口腔种植案例院长。他们精益求精,在口腔种植领域享有盛誉。
在线预约
同时,麦芽口腔提倡并专注于亚洲口腔医学技术研究和的数字化口腔诊疗,应用国际当先全数字化口腔模式,麦芽口腔从口内数据CT扫描提取、数字化分析与模拟、数字化建模、数字化手术导板、3D模型打印、义齿加工以及手术模拟导航等,全流程实现了全数字化科技口腔诊疗。
温馨提示:只有专业的口腔机构和医生才能够保证种植牙手术的安全和效果。麦芽口腔医生提醒,为了我们的健康,千万不要贪图便宜,乱投医,这样很有可能受到不必要的伤害。
*提交信息后,工作人员将致电回访,与您确定到院时间,小麦为您自动排号,为您节省看牙的时间。

























转载
咨询















































