不怕“南征北战”就怕缺牙受罪
麦芽智能AI在线 · 点击咨询 来源:麦芽糖编辑社 更新:2019-11-12 19:27
接诊范围·专精疑难
MAC博士智库
专注高龄疑难缺牙
进入医生列表甄选系统·国际品质
六大系统认证
数字化种牙示范基地
植体拥有唯一编码数字科技·精确种牙
运用数字科技
让疑难种牙变简单
申请方案设计数字化口腔精确科技倡导者
以修复为导向
一站式种牙与修复
了解更多*说明:文章信息仅供参考,不作为临床口腔医学诊断依据。
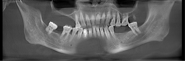
20年前牙齿就开始脱落了,但当时科学、技术都没有达到现在的标准,自己也没有太在意,现在吃东西费劲,很多时候朋友邀约出去聚会,只能眼睁睁的看着大家享受美食。

2017年5年,通过朋友介绍,我来到了麦芽口腔,医护人员的服务和态度周到又细致,而且,我了解到麦芽口腔有一支由深圳市第二人民医院原口腔科主任郑苍尚教授领衔的专业医疗团队,医术精湛,值得信任。制订完方案后我就立即预约了时间治疗。

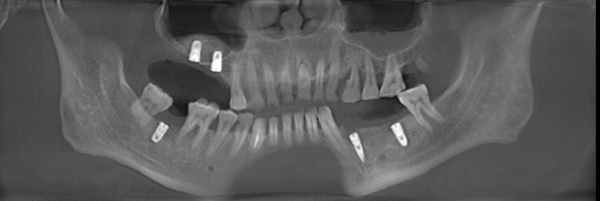
种牙前以为手术过程中会感觉到疼痛,结果轻松就完成了,并且手术后也没有什么不良反应,感觉非常好。麦芽种植专家根据CT拍片的牙槽骨数据和口腔健康情况分析,采用了微创无痛种植方案。这种手术最大的优点是只有3-4毫米微小切口,减少了肿痛和出血量,手术时间短,种植位置更准确,成功率也更高。

在后来的北极之旅中,我还特定带上了麦芽口腔的旗帜。之所以把麦芽口腔的旗帜带到北极,是希望让更多缺牙的中老年朋友能够"重获新生"。

*提交信息后,工作人员将致电回访,与您确定到院时间,小麦为您自动排号,为您节省看牙的时间。
















转载
咨询















































