从粤西到深圳,终于种好了牙
麦芽智能AI在线 · 点击咨询 来源:麦芽糖编辑社 更新:2019-11-12 19:27
接诊范围·专精疑难
MAC博士智库
专注高龄疑难缺牙
进入医生列表甄选系统·国际品质
六大系统认证
数字化种牙示范基地
植体拥有唯一编码数字科技·精确种牙
运用数字科技
让疑难种牙变简单
申请方案设计数字化口腔精确科技倡导者
以修复为导向
一站式种牙与修复
了解更多*说明:文章信息仅供参考,不作为临床口腔医学诊断依据。
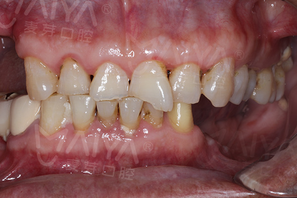
缺牙后去镶了假牙,后来牙齿经常发炎,一疼一两个小时,一两天才可以吃一点东西,营养跟不上,身体也越来越虚弱。但又不敢再去镶牙。在一次闲聊时听社区的伙伴提起种植牙,说和真牙一样,就想试试种植牙。


在儿子的陪同下,我去了很多医院和牙科机构咨询,但由于缺牙时间太长,年龄也大了,做种牙手术的需求都被拒绝。本来已经不抱希望了,看到麦芽口腔的广告,我决定最后再来了解一下。
在听到我符合种植牙的条件时,我高兴坏了,奔波了一个多月,终于在麦芽看到了希望。但由于缺牙时间太长,专家说我的上颌骨量严重不足,种植牙条件非常艰巨,必须先做植骨手术,但我的上颌有动脉血管,如果手术过程中不小心割破血管,后果将不堪设想。
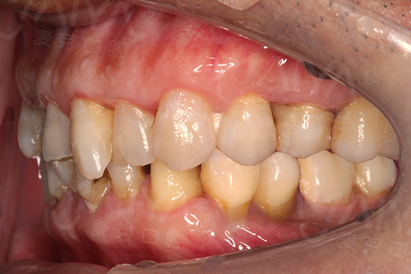
麦芽种植专家的医术很好,整个手术过程很舒服,也不觉得累,打了麻药后一点也不痛,虽然现在只种了下颌的牙齿,但我真希望上颌的骨头能早点长出来,早点把上颌的牙齿种上。

*提交信息后,工作人员将致电回访,与您确定到院时间,小麦为您自动排号,为您节省看牙的时间。
















转载
咨询















































