96年美模正畸宣言:“为遇见更好的自己努力”
麦芽智能AI在线 · 点击咨询 来源:麦芽糖编辑社 更新:2019-11-27 16:37
*说明:文章信息仅供参考,不作为临床口腔医学诊断依据。
过去的困扰
当我18岁的时候开始注意美观,那时候牙齿有点稀疏,跟着姐姐去了牙科,医生建议我矫正。受限于当时还是学生,经济条件有所限制,而且羞于告诉家长事实,就没有矫正成功。现在的我从事模特行业,主要给燕窝产品做宣传模特,在一些试吃的镜头里,拍下来的侧脸,因为牙齿稀疏,笑起来也不好看,很影响美观。

改变开始
2018/11/07 新牙套也很舒乎
我又来复诊了,昨天有助理提醒我,顺便说一下,戴牙套很方便,复诊时间也少,尤其是像我经常在广州工作,真的很方便了,复诊的时候顺便和老朋友小聚一下,而且牙齿有问题跟医生微信沟通一下,不过医生有的时候可能在忙~~
还像往常一样,小护士给系上防尘布一样的东西,医生检查牙齿,还是跟着步骤在矫正,哈哈哈,我都佩服自己!拿到新的牙套了,老司机轻车熟路的就把牙套戴上了,习惯了新牙套的束缚感,对于我来说还真的没有啥感觉呢~
2018/05/25 4个月的效果喔
这是我戴的第9副牙套,客服提醒我来复诊了,转眼4个多月过去了,从厚厚的棉衣变成夏天清爽的短袖,我的牙齿也在逐渐的变化。今天医生检查我的口腔问题,说我一直在按照设定的轨迹矫正,又看了一下动画~~
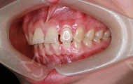
最后给大家展示一下口内的效果吧,如果我不说你能看到我戴了牙套吗?发音也还好,跟没戴牙套之前没有什么区别呢~
2018/05/01 矫牙so easy!
隐形牙套并没有影响到我的职业生活,该吃饭的时候就吃,该工作的时候就工作,而且很美观,根部看不出来牙齿上戴了东西,不过你们也知道的,模特为了保持身材吃的比较少,就算工作中有试吃的part,就是很快摘下来,放到盒子里,等会去水龙头那里冲一下就好了,医生说要每天戴够20小时以上,这个我绝对绝对可以保证的!
朋友们说看不见我戴了牙套,我平时自己照镜子也看不出来呢,我有的模特朋友,说控制饮食好难,戴了牙套貌似比较容易减肥,哈哈哈~

2018/02/10 终于拿到牙套了
一个月的时间,终于迎来了我的变美牙套,是时代天使的牙套,真的炒鸡好看。同样的时间同样的地点,没想到很有缘分的我穿的还是第一天来的衣服,医生亲自教戴牙套,简直不要太温柔,抑制不住内心的激动,让医生又给看了一下之前看过的方案,高科技的3D动画就是厉害,能看到矫正后的样子!然后我按照医生的指导,双手托举牙套,听到响了医生就是戴上了,接着就是下牙套,刚开始有些生疏,不过练几次就熟练了~~还有个精致的小盒子,很方便携带哦~~

2018/01/11 不用拔牙真好~
我觉得整个流程比较顺畅,前台的客服很好看,冲我也是笑嘻嘻的,在一楼沙发上等了一会看了会电视,和咨询师交谈一会后,被叫到3楼,3楼比一楼更大更宽敞,还有专门的客服给端茶送水,正畸科在左拐的地方,看牙的医生,先是检查了一下我的口内情况,说我口内状况良好,适合矫牙~
接下来去拍片的时候,还有护士姐姐给穿放射服,服务要不要这么周到~~来前我做好拔牙准备了,但医生给我制定的方案不需拔牙,因为收紧牙缝就好,还是小高兴了一会儿~拍了口内照、正面、侧面、45度的照片,OMG!设备简直不要太先进,医生讲解的很耐心,真的内心有点迫不及待了!!!

*提交信息后,工作人员将致电回访,与您确定到院时间,小麦为您自动排号,为您节省看牙的时间。












转载
咨询














































