旅游达人:我想去最美的远方,拍最美的照片
麦芽智能AI在线 · 点击咨询 来源:麦芽糖编辑社 更新:2019-11-27 16:42
*说明:文章信息仅供参考,不作为临床口腔医学诊断依据。
过去的困扰
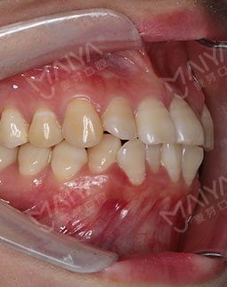
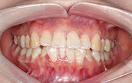
我喜欢旅行,记录我开心的瞬间。但每次旅行都有一点遗憾,因为牙齿不齐,笑起来因太在乎形象而显得不自然。初中时戴了半年钢牙套,因为太痛苦坚持不下去。工作之后,牙齿不齐真的是不忍直视,每次吃火龙果的时候都是一种煎熬,出门吃饭永远不知道牙齿是什么样的情况。看着身边的朋友牙齿都很整齐,更加坚定了我想矫牙的心!!!

改变开始
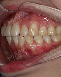
2018-4-11下次旅行,要留下我最美的微笑
在主任的建议下拔了牙,根据我的牙齿情况,主任做了适合我的矫牙方案。选择了时代天使双膜矫治器,矫治器是透明的,可以自行摘戴,满足了我想矫正又怕丑的要求,让我在别人不知道的情况下,拥有整齐的牙齿,在矫正之前是可以在计算机上模拟显示整个矫治过程中牙齿的变化过程,可以很直观的看到,让我自己感觉心里很放心,经过一个月的等待,终于戴上了牙套,给主任和麦芽点赞!

2017-12-1不让自己留遗憾,我与歪牙要打持久战
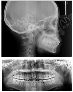
经过朋友良心推荐,最终选择了麦芽口腔。在麦芽是张超主任给我检查的牙齿,然后跟着医助拍的片,这期间都有专人负责,张主任很专业的为我定制了方案,当天就取了牙模~


*提交信息后,工作人员将致电回访,与您确定到院时间,小麦为您自动排号,为您节省看牙的时间。












转载
咨询














































