因为可预见,所以更快速
-

以终为始,3D可视呈现
AI智能模拟矫牙组织改建全
过程,3D可视呈现每一步。 -

牙根还原,0.1度转矩精确控制
独家控根专利,让牙齿的移动更加
整体,有效改善唇突美化侧貌。 -

精确控根,维持牙根稳定
牙根的移动是牙齿移动的关键点,计算机
把控效果,降低人为误差。
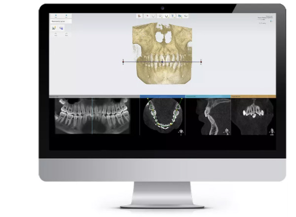
MAC数字化正畸方案设计
MAC数字化精确方案设计中心,通过融合临床口腔正畸学和颌面美学、AI人工智能、大数据云计算技术、海量疑难正畸病例库、计算机三维建模技术,能针对牙根、弓形、咬合、笑线精确分析定制方案,三维可视呈现,能让患者在口腔正畸前就可预览到自己矫治的过程,及结束后的牙齿形态。
申请体验 · MAC精确方案设计你会得到什么

-
诊断分析,微信一键可查
基于AI人工智能创新科技+循证医学病例数据模拟分析,麦芽口腔可快速针对牙列、 牙颌、面颌,进行20小项口腔数据检测,出具完整的检测报告,您在微信即可预览。

-
预知效果,矫牙不再心慌
以往矫牙,好比摸着石头过河,效果如何,只有结束后才知晓。麦芽口腔以终为始的 设计理念,借助3D计算机建模技术,可实现动画演绎,清晰呈现全过程,效果满意 再矫牙。

-
精确控根,变美不绕弯路
独有的牙根还原专利,让麦芽口腔的正畸医师能运用骨皮质边界模拟技术,实现牙根 位移全模拟,保证牙根的移动始终排列于牙槽骨中心,云端监控矫牙流程,让牙齿内 收更到位,从而改变面型,维持更佳的牙根稳定性。
“牙齿在骨骼内健康移动速度,绝大多数的矫正移动不超过3mm,MAC数字化口腔 精确诊疗体系,通过精确方案设计,模拟矫牙全程,开始前发现并预防潜在风险,让 牙齿矫治的效率提升至极致,一路畅行,直达结果。”
麦芽口腔正畸中心主任 | 吴伯海博士
MAC精确呈现你的美





MAC数字化精确正畸方案设计
借助AI人工智能技术,采用海量疑难正畸病例库模拟计算,融入牙根还原专 利技术,依旧牙根、弓形、咬合、笑线、牙体形态定制矫牙方案,绕开路障 与拥堵,快速直达变美目的。
MAC数字化精确3D打印
根据面型、弓形与牙齿形态3D打印的牙套,佩戴更舒适,除此,实现理想的 矫牙方案,得以从虚拟设计软件转化到顾客的口内,1:1定制的隐形牙套与托 槽矫正器,让你美丽笑容快速可得!
牙根“到位”才是矫正“到位”
牙根的移动是牙齿移动的关键点,麦芽独家引进的“骨皮质边界模拟技术”, 率先实现精确至0.1的控制:0.1°的转矩设置,让牙齿内收到位;0.1mm的位 移控制,让牙冠与牙根的移动更加整体、有效。
精确每个细节,实现理想笑容
-

数字化精确影像数据采集
高清晰度3D诊断图片
精确采集颌面数据 -

改物理取模为数字取模
精确采集咬合与软硬组织信息
实时重建数字化模型 -

AI人工智能即时预览
云端数据整合,AI智能口内检测
快速预览初始效果 -

以终为始精确定制方案
以正畸学、颌面美学为基础,融合
控根专利定制方案 -

数字化精确3D打印
以正畸学、颌面美学为基础,融合
控根专利定制方案 -

3D打印托槽定位夹
精确定制辅助工具,将虚拟甄选
方案得以实现在口中 -

数字化托槽定位安装
3D定位夹辅助弓丝托槽安装,降低
人为误差快速启动矫牙 -

云端监控跟踪与检测
牙齿向目标位移动实时监测,
精确至0.01mm















































